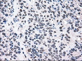
![IHC-P analysis of human endometrium adenocarcinoma tissue using GTX84165 MEK2 antibody [8G6]. Antigen retrieval : Heat-induced epitope retrieval by 10mM citrate buffer, pH6.0, 100oC for 10min. IHC-P analysis of human endometrium adenocarcinoma tissue using GTX84165 MEK2 antibody [8G6]. Antigen retrieval : Heat-induced epitope retrieval by 10mM citrate buffer, pH6.0, 100oC for 10min.](https://www.genetex.com/upload/website/prouct_img/normal/GTX84165/GTX84165_2399_IHC-P_w_23061420_543.webp)
IHC-P analysis of human endometrium adenocarcinoma tissue using GTX84165 MEK2 antibody [8G6]. Antigen retrieval : Heat-induced epitope retrieval by 10mM citrate buffer, pH6.0, 100oC for 10min.
MEK2 antibody [8G6]
GTX84165
ApplicationsFlow Cytometry, Western Blot, ImmunoHistoChemistry, ImmunoHistoChemistry Paraffin
Product group Antibodies
ReactivityHuman, Monkey, Mouse
TargetMAP2K2
Overview
- SupplierGeneTex
- Product NameMEK2 antibody [8G6]
- Delivery Days Customer9
- Application Supplier NoteWB: 1:2000. IHC-P: 1:150. FACS: 1:100. *Optimal dilutions/concentrations should be determined by the researcher.Not tested in other applications.
- ApplicationsFlow Cytometry, Western Blot, ImmunoHistoChemistry, ImmunoHistoChemistry Paraffin
- CertificationResearch Use Only
- ClonalityMonoclonal
- Clone ID8G6
- Concentration1 mg/ml
- ConjugateUnconjugated
- Gene ID5605
- Target nameMAP2K2
- Target descriptionmitogen-activated protein kinase kinase 2
- Target synonymsCFC4, MAPKK2, MEK2, MKK2, PRKMK2, dual specificity mitogen-activated protein kinase kinase 2, ERK activator kinase 2, MAP kinase kinase 2, MAPK/ERK kinase 2, mitogen-activated protein kinase kinase 2, p45
- HostMouse
- IsotypeIgG1
- Protein IDP36507
- Protein NameDual specificity mitogen-activated protein kinase kinase 2
- Scientific DescriptionCatalyzes the concomitant phosphorylation of a threonine and a tyrosine residue in a Thr-Glu-Tyr sequence located in MAP kinases. Activates the ERK1 and ERK2 MAP kinases.
- ReactivityHuman, Monkey, Mouse
- Storage Instruction-20°C or -80°C,2°C to 8°C
- UNSPSC12352203
![IHC-P analysis of human kidney carcinoma tissue using GTX84165 MEK2 antibody [8G6]. Antigen retrieval : Heat-induced epitope retrieval by 10mM citrate buffer, pH6.0, 100oC for 10min. IHC-P analysis of human kidney carcinoma tissue using GTX84165 MEK2 antibody [8G6]. Antigen retrieval : Heat-induced epitope retrieval by 10mM citrate buffer, pH6.0, 100oC for 10min.](https://www.genetex.com/upload/website/prouct_img/normal/GTX84165/GTX84165_2402_IHC-P_w_23061420_791.webp)
![WB analysis of HEK293T cells transfected with MEK2 plasmid (Right) or empty vector (Left) for 48 hrs using GTX84165 MEK2 antibody [8G6]. Loading : 5 ug per lane WB analysis of HEK293T cells transfected with MEK2 plasmid (Right) or empty vector (Left) for 48 hrs using GTX84165 MEK2 antibody [8G6]. Loading : 5 ug per lane](https://www.genetex.com/upload/website/prouct_img/normal/GTX84165/GTX84165_4168_WB_w_23061420_947.webp)
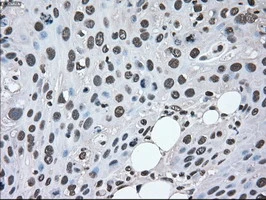
![IHC-P analysis of human bladder carcinoma tissue using GTX84165 MEK2 antibody [8G6]. Antigen retrieval : Heat-induced epitope retrieval by 10mM citrate buffer, pH6.0, 100oC for 10min. IHC-P analysis of human bladder carcinoma tissue using GTX84165 MEK2 antibody [8G6]. Antigen retrieval : Heat-induced epitope retrieval by 10mM citrate buffer, pH6.0, 100oC for 10min.](https://www.genetex.com/upload/website/prouct_img/normal/GTX84165/GTX84165_2401_IHC-P_w_23061420_138.webp)
![FACS analysis of HEK293T cells transfected with either MEK2 plasmid(Red) or empty vector control plasmid(Blue) using GTX84165 MEK2 antibody [8G6]. FACS analysis of HEK293T cells transfected with either MEK2 plasmid(Red) or empty vector control plasmid(Blue) using GTX84165 MEK2 antibody [8G6].](https://www.genetex.com/upload/website/prouct_img/normal/GTX84165/GTX84165_316_FACS_w_23061420_344.webp)
![IHC-P analysis of human endometrium tissue using GTX84165 MEK2 antibody [8G6]. Antigen retrieval : Heat-induced epitope retrieval by 10mM citrate buffer, pH6.0, 100oC for 10min. IHC-P analysis of human endometrium tissue using GTX84165 MEK2 antibody [8G6]. Antigen retrieval : Heat-induced epitope retrieval by 10mM citrate buffer, pH6.0, 100oC for 10min.](https://www.genetex.com/upload/website/prouct_img/normal/GTX84165/GTX84165_2406_IHC-P_w_23061420_861.webp)
![IHC-P analysis of human pancreas tissue using GTX84165 MEK2 antibody [8G6]. Antigen retrieval : Heat-induced epitope retrieval by 10mM citrate buffer, pH6.0, 100oC for 10min. IHC-P analysis of human pancreas tissue using GTX84165 MEK2 antibody [8G6]. Antigen retrieval : Heat-induced epitope retrieval by 10mM citrate buffer, pH6.0, 100oC for 10min.](https://www.genetex.com/upload/website/prouct_img/normal/GTX84165/GTX84165_2409_IHC-P_w_23061420_298.webp)
![IHC-P analysis of human breast adenocarcinoma tissue using GTX84165 MEK2 antibody [8G6]. Antigen retrieval : Heat-induced epitope retrieval by 10mM citrate buffer, pH6.0, 100oC for 10min. IHC-P analysis of human breast adenocarcinoma tissue using GTX84165 MEK2 antibody [8G6]. Antigen retrieval : Heat-induced epitope retrieval by 10mM citrate buffer, pH6.0, 100oC for 10min.](https://www.genetex.com/upload/website/prouct_img/normal/GTX84165/GTX84165_2397_IHC-P_w_23061420_662.webp)
![IHC-P analysis of human pancreas carcinoma tissue using GTX84165 MEK2 antibody [8G6]. Antigen retrieval : Heat-induced epitope retrieval by 10mM citrate buffer, pH6.0, 100oC for 10min. IHC-P analysis of human pancreas carcinoma tissue using GTX84165 MEK2 antibody [8G6]. Antigen retrieval : Heat-induced epitope retrieval by 10mM citrate buffer, pH6.0, 100oC for 10min.](https://www.genetex.com/upload/website/prouct_img/normal/GTX84165/GTX84165_2403_IHC-P_w_23061420_165.webp)
![WB analysis of various cell lines using GTX84165 MEK2 antibody [8G6]. Loading : 35 ug per lane Dilution : 1:200 WB analysis of various cell lines using GTX84165 MEK2 antibody [8G6]. Loading : 35 ug per lane Dilution : 1:200](https://www.genetex.com/upload/website/prouct_img/normal/GTX84165/GTX84165_3498_WB_w_23061420_132.webp)


![Wild-type (WT) and MEK2 knockout (KO) 293T cell extracts (30 μg) were separated by 10% SDS-PAGE, and the membrane was blotted with MEK2 antibody [GT1162] (GTX630541) diluted at 1:1000. The HRP-conjugated anti-mouse IgG antibody (GTX213111-01) was used to detect the primary antibody, and the signal was developed with Trident ECL plus-Enhanced.](https://www.genetex.com/upload/website/prouct_img/normal/GTX630541/GTX630541_41568_20180316_WB_KO_watermark_w_23061202_550.webp)
![MEK2 antibody [GT3522] detects MEK2 protein by western blot analysis. A. 30 μg 293T whole cell lysate/extract B. 30 μg A431 whole cell lysate/extract C. 30 μg HeLa whole cell lysate/extract D. 30 μg HepG2 whole cell lysate/extract 10 % SDS-PAGE MEK2 antibody [GT3522] (GTX630543) dilution: 1:1000](https://www.genetex.com/upload/website/prouct_img/normal/GTX630543/GTX630543_41568_WB_w_23061202_509.webp)



![ICC/IF analysis of HeLa cells using GTX83358 MEK2 antibody [7F5]. Green : MEK2 Blue: DRAQ5 fluorescent DNA dye Red: Actin filaments](https://www.genetex.com/upload/website/prouct_img/normal/GTX83358/GTX83358_20170912_ICCIF_w_23061322_164.webp)