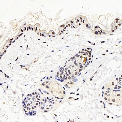
Immunohistochemistry analysis of paraffin-embedded mouse skin using MGMT Polyclonal Antibody at dilution of 1:300.
MGMT Polyclonal Antibody
E-AB-70262
Product group Antibodies
Overview
- SupplierElabscience
- Product NameMGMT Polyclonal Antibody
- Delivery Days Customer12
- CertificationResearch Use Only
- Scientific DescriptionMGMT (O6-methylguanine-DNA methyltransferase) is transcriptionally activated in response to DNA damage and functions to repair mutagenic and cytotoxic O6-alkylguanine lesions caused by carcinogens or cytostatic drugs. MGMT induction by ionising radiation does not occur in p53-deficient mice, suggesting that MGMT induction may require p53. Similarly, MGMT mRNA and protein were shown to be inducible by ionising radiation, only in cell lines that express functional p53, and not in cell lines that do not express wild type p53. In contrast, high MGMT activity was associated with the presence of mutant p53, in a study of oral cancer cell lines. Similarly, MGMT activity was significantly lower in ovarian tumors with wildtype p53 than in tumors with mutant p53, supporting the view that wildtype p53 down-regulates the basal MGMT promoter.
- UNSPSC12352203





