![Various whole cell extracts (30 μg) were separated by 10% SDS-PAGE, and the membrane was blotted with Mig-6 antibody [N1C1] (GTX118238) diluted at 1:1000. The HRP-conjugated anti-rabbit IgG antibody (GTX213110-01) was used to detect the primary antibody. Various whole cell extracts (30 μg) were separated by 10% SDS-PAGE, and the membrane was blotted with Mig-6 antibody [N1C1] (GTX118238) diluted at 1:1000. The HRP-conjugated anti-rabbit IgG antibody (GTX213110-01) was used to detect the primary antibody.](https://www.genetex.com/upload/website/prouct_img/normal/GTX118238/GTX118238_44650_20220422_WB_23011618_596.webp)
Various whole cell extracts (30 μg) were separated by 10% SDS-PAGE, and the membrane was blotted with Mig-6 antibody [N1C1] (GTX118238) diluted at 1:1000. The HRP-conjugated anti-rabbit IgG antibody (GTX213110-01) was used to detect the primary antibody.
Mig-6 antibody [N1C1]
GTX118238
ApplicationsWestern Blot, ImmunoHistoChemistry, ImmunoHistoChemistry Paraffin
Product group Antibodies
ReactivityHuman, Mouse
TargetERRFI1
Overview
- SupplierGeneTex
- Product NameMig-6 antibody [N1C1]
- Delivery Days Customer9
- Application Supplier NoteWB: 1:500-1:3000. IHC-P: 1:100-1:1000. *Optimal dilutions/concentrations should be determined by the researcher.Not tested in other applications.
- ApplicationsWestern Blot, ImmunoHistoChemistry, ImmunoHistoChemistry Paraffin
- CertificationResearch Use Only
- ClonalityPolyclonal
- Concentration0.29 mg/ml
- ConjugateUnconjugated
- Gene ID54206
- Target nameERRFI1
- Target descriptionERBB receptor feedback inhibitor 1
- Target synonymsGENE-33, MIG-6, MIG6, RALT, ERBB receptor feedback inhibitor 1, mitogen-inducible gene 6 protein, receptor-associated late transducer
- HostRabbit
- IsotypeIgG
- Protein IDQ9UJM3
- Protein NameERBB receptor feedback inhibitor 1
- Scientific DescriptionERRFI1 is a cytoplasmic protein whose expression is upregulated with cell growth (Wick et al., 1995 [PubMed 7641805]). It shares significant homology with the protein product of rat gene-33, which is induced during cell stress and mediates cell signaling (Makkinje et al., 2000 [PubMed 10749885]; Fiorentino et al., 2000 [PubMed 11003669]).[supplied by OMIM]
- ReactivityHuman, Mouse
- Storage Instruction-20°C or -80°C,2°C to 8°C
- UNSPSC41116161
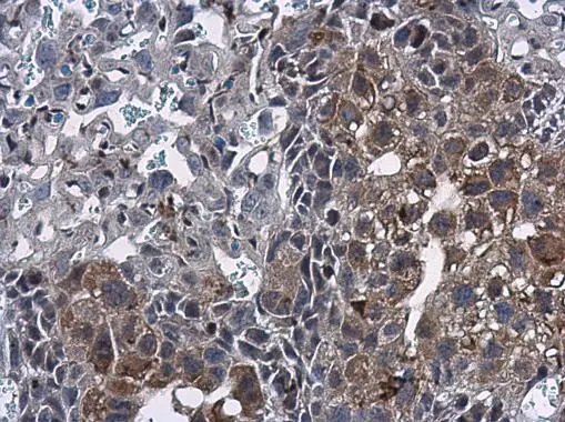
![Mig-6 antibody [N1C1] detects Mig-6 protein at cytoplasm in mouse placenta by immunohistochemical analysis. Sample: Paraffin-embedded mouse placenta. Mig-6 antibody [N1C1] (GTX118238) diluted at 1:500.
Antigen Retrieval: Citrate buffer, pH 6.0, 15 min Mig-6 antibody [N1C1] detects Mig-6 protein at cytoplasm in mouse placenta by immunohistochemical analysis. Sample: Paraffin-embedded mouse placenta. Mig-6 antibody [N1C1] (GTX118238) diluted at 1:500.
Antigen Retrieval: Citrate buffer, pH 6.0, 15 min](https://www.genetex.com/upload/website/prouct_img/normal/GTX118238/GTX118238_40436_20161129_IHC-P_M_w_23060519_608.webp)




![Whole cell extract (30 μg) was separated by 10% SDS-PAGE, and the membrane was blotted with Mig-6 antibody [HL1785] (GTX637437) diluted at 1:500. The HRP-conjugated anti-rabbit IgG antibody (GTX213110-01) was used to detect the primary antibody.](https://www.genetex.com/upload/website/prouct_img/normal/GTX637437/GTX637437_44851_20221104_WB_22110919_789.webp)

