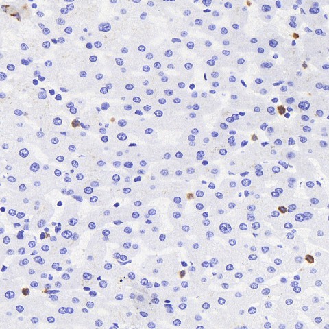
Immunohistochemistry analysis of paraffin-embedded human liver using MPO Polyclonal Antibody at dilution of 1:300.
MPO Polyclonal Antibody
E-AB-70091
Product group Antibodies
Overview
- SupplierElabscience
- Product NameMPO Polyclonal Antibody
- Delivery Days Customer12
- CertificationResearch Use Only
- Scientific DescriptionMyeloperoxidase (MPO) is a heme protein synthesized during myeloid differentiation that constitutes the major component of neutrophil azurophilic granules. Produced as a single chain precursor, myeloperoxidase is subsequently cleaved into a light and heavy chain. The mature myeloperoxidase is a tetramer composed of 2 light chains and 2 heavy chains. This enzyme produces hypohalous acids central to the microbicidal activity of netrophils.
- UNSPSC12352203





