
Sample (30 ug of whole cell lysate) A: Hep G2 (GTX27900) 10% SDS PAGE GTX111425 diluted at 1:1000
MVD antibody [N1C1]
GTX111425
ApplicationsWestern Blot, ImmunoHistoChemistry, ImmunoHistoChemistry Paraffin
Product group Antibodies
ReactivityHuman, Rat
TargetMVD
Overview
- SupplierGeneTex
- Product NameMVD antibody [N1C1]
- Delivery Days Customer9
- Application Supplier NoteWB: 1:500-1:3000. IHC-P: 1:100-1:1000. *Optimal dilutions/concentrations should be determined by the researcher.Not tested in other applications.
- ApplicationsWestern Blot, ImmunoHistoChemistry, ImmunoHistoChemistry Paraffin
- CertificationResearch Use Only
- ClonalityPolyclonal
- Concentration1 mg/ml
- ConjugateUnconjugated
- Gene ID4597
- Target nameMVD
- Target descriptionmevalonate diphosphate decarboxylase
- Target synonymsFP17780, MDDase, MPD, POROK7, diphosphomevalonate decarboxylase, mevalonate (diphospho) decarboxylase, mevalonate pyrophosphate decarboxylase
- HostRabbit
- IsotypeIgG
- Protein IDP53602
- Protein NameDiphosphomevalonate decarboxylase
- Scientific DescriptionThe enzyme mevalonate pyrophosphate decarboxylase catalyzes the conversion of mevalonate pyrophosphate into isopentenyl pyrophosphate in one of the early steps in cholesterol biosynthesis. It decarboxylates and dehydrates its substrate while hydrolyzing ATP. [provided by RefSeq]
- ReactivityHuman, Rat
- Storage Instruction-20°C or -80°C,2°C to 8°C
- UNSPSC41116161
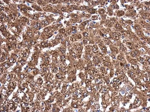
![MVD antibody [N1C1] detects MVD protein at cytoplasm in rat liver by immunohistochemical analysis. Sample: Paraffin-embedded rat liver. MVD antibody [N1C1] (GTX111425) diluted at 1:400.
Antigen Retrieval: Citrate buffer, pH 6.0, 15 min MVD antibody [N1C1] detects MVD protein at cytoplasm in rat liver by immunohistochemical analysis. Sample: Paraffin-embedded rat liver. MVD antibody [N1C1] (GTX111425) diluted at 1:400.
Antigen Retrieval: Citrate buffer, pH 6.0, 15 min](https://www.genetex.com/upload/website/prouct_img/normal/GTX111425/GTX111425_40065_20160706_IHC-P_R_w_23060500_906.webp)






