
WB analysis of MDA-MB435 cell treated by TNF alpha using GTX54550 NFkB p100 (phospho Ser866) antibody. Loading : 25μg per lane
NFkB p100 (phospho Ser866) antibody
GTX54550
ApplicationsImmunoFluorescence, Western Blot, ImmunoCytoChemistry, ImmunoHistoChemistry, ImmunoHistoChemistry Paraffin
Product group Antibodies
ReactivityHuman
TargetNFKB2
Overview
- SupplierGeneTex
- Product NameNFkB p100 (phospho Ser866) antibody
- Delivery Days Customer7
- Application Supplier NoteWB: 1:500 - 1:2000. ICC/IF: 1:50 - 1:100. IHC-P: 1:50 - 1:100. *Optimal dilutions/concentrations should be determined by the researcher.Not tested in other applications.
- ApplicationsImmunoFluorescence, Western Blot, ImmunoCytoChemistry, ImmunoHistoChemistry, ImmunoHistoChemistry Paraffin
- CertificationResearch Use Only
- ClonalityPolyclonal
- ConjugateUnconjugated
- Gene ID4791
- Target nameNFKB2
- Target descriptionnuclear factor kappa B subunit 2
- Target synonymsCVID10, H2TF1, LYT-10, LYT10, NF-kB2, p100, p49/p100, p52, nuclear factor NF-kappa-B p100 subunit, DNA-binding factor KBF2, NFKB, p52/p100 subunit, lymphocyte translocation chromosome 10 protein, nuclear factor Kappa-B, subunit 2, nuclear factor NF-kappa-B p52 subunit, nuclear factor of Kappa light chain gene enhancer in B cells 2, nuclear factor of kappa light polypeptide gene enhancer in B-cells 2 (p49/p100), oncogene Lyt-10, transcription factor NFKB2
- HostRabbit
- IsotypeIgG
- Protein IDQ00653
- Protein NameNuclear factor NF-kappa-B p100 subunit
- Scientific DescriptionThis gene encodes a subunit of the transcription factor complex nuclear factor-kappa-B (NFkB). The NFkB complex is expressed in numerous cell types and functions as a central activator of genes involved in inflammation and immune function. The protein encoded by this gene can function as both a transcriptional activator or repressor depending on its dimerization partner. The p100 full-length protein is co-translationally processed into a p52 active form. Chromosomal rearrangements and translocations of this locus have been observed in B cell lymphomas, some of which may result in the formation of fusion proteins. There is a pseudogene for this gene on chromosome 18. Alternative splicing results in multiple transcript variants. [provided by RefSeq, Dec 2013]
- ReactivityHuman
- Storage Instruction-20°C or -80°C,2°C to 8°C
- UNSPSC41116161








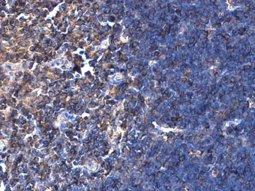
![NFkB p100/p52 antibody [N1N3] detects NFKB2 protein at cytoplasm in rat thymus by immunohistochemical analysis. Sample: Paraffin-embedded rat lymph node. NFkB p100/p52 antibody [N1N3] (GTX101151) diluted at 1:500.
Antigen Retrieval: Citrate buffer, pH 6.0, 15 min](https://www.genetex.com/upload/website/prouct_img/normal/GTX101151/GTX101151_40079_20151123_IHC-P_R_w_23060100_646.webp)
