
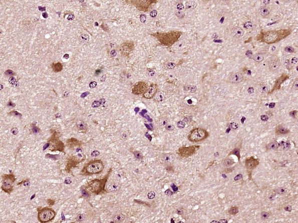
Paraformaldehyde-fixed, paraffin embedded Rat brain; Antigen retrieval by boiling in sodium citrate buffer (pH6.0) for 15min; Block endogenous peroxidase by 3% hydrogen peroxide for 20 minutes; Blocking buffer (normal goat serum) at 37°C for 30min; Antibody incubation with Nidogen Polyclonal Antibody, Unconjugated (bs-6911R) at 1:400 overnight at 4°C, DAB staining.
Nidogen Polyclonal Antibody
BS-6911R
ApplicationsImmunoFluorescence, ELISA, ImmunoCytoChemistry, ImmunoHistoChemistry, ImmunoHistoChemistry Frozen, ImmunoHistoChemistry Paraffin
Product group Antibodies
ReactivityBovine, Human, Mouse, Rabbit, Rat
TargetNID1
Overview
- SupplierBioss
- Product NameNidogen Polyclonal Antibody
- Delivery Days Customer16
- ApplicationsImmunoFluorescence, ELISA, ImmunoCytoChemistry, ImmunoHistoChemistry, ImmunoHistoChemistry Frozen, ImmunoHistoChemistry Paraffin
- Applications SupplierELISA(1:500-1000), IHC-P(1:200-400), IHC-F(1:100-500), IF(IHC-P)(1:50-200), IF(IHC-F)(1:50-200), IF(ICC)(1:50-200)
- CertificationResearch Use Only
- ClonalityPolyclonal
- Concentration1 ug/ul
- ConjugateUnconjugated
- Gene ID4811
- Target nameNID1
- Target descriptionnidogen 1
- Target synonymsNID, nidogen-1, NID-1, enactin, entactin, epididymis secretory sperm binding protein
- HostRabbit
- IsotypeIgG
- Protein IDP14543
- Protein NameNidogen-1
- ReactivityBovine, Human, Mouse, Rabbit, Rat
- Storage Instruction-20°C
- UNSPSC41116161




