
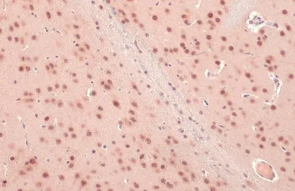
O-GlcNAc transferase antibody detects O-GlcNAc transferase protein at cytoplasm and nucleus by immunohistochemical analysis. Sample: Paraffin-embedded rat brain. O-GlcNAc transferase stained by O-GlcNAc transferase antibody (GTX109939) diluted at 1:500. Antigen Retrieval: Citrate buffer, pH 6.0, 15 min
O-GlcNAc transferase antibody
GTX109939
ApplicationsFlow Cytometry, ImmunoFluorescence, ImmunoPrecipitation, Western Blot, ImmunoCytoChemistry, ImmunoHistoChemistry, ImmunoHistoChemistry Paraffin
Product group Antibodies
ReactivityHuman, Mouse, Rat
TargetOGT
Overview
- SupplierGeneTex
- Product NameO-GlcNAc transferase antibody
- Delivery Days Customer9
- Application Supplier NoteWB: 1:500-1:3000. ICC/IF: 1:100-1:1000. IHC-P: 1:100-1:1000. IP: 1:100-1:500. *Optimal dilutions/concentrations should be determined by the researcher.Not tested in other applications.
- ApplicationsFlow Cytometry, ImmunoFluorescence, ImmunoPrecipitation, Western Blot, ImmunoCytoChemistry, ImmunoHistoChemistry, ImmunoHistoChemistry Paraffin
- CertificationResearch Use Only
- ClonalityPolyclonal
- Concentration1.51 mg/ml
- ConjugateUnconjugated
- Gene ID8473
- Target nameOGT
- Target descriptionO-linked N-acetylglucosamine (GlcNAc) transferase
- Target synonymsHINCUT-1, HRNT1, MRX106, O-GLCNAC, OGT1, XLID106, UDP-N-acetylglucosamine--peptide N-acetylglucosaminyltransferase 110 kDa subunit, O-GlcNAc transferase p110 subunit, O-GlcNAc transferase subunit p110, O-linked N-acetylglucosamine (GlcNAc) transferase (UDP-N-acetylglucosamine:polypeptide-N-acetylglucosaminyl transferase), O-linked N-acetylglucosamine transferase 110 kDa subunit, UDP-N-acetylglucosamine:polypeptide-N-acetylglucosaminyl transferase, uridinediphospho-N-acetylglucosamine:polypeptide beta-N-acetylglucosaminyl transferase
- HostRabbit
- IsotypeIgG
- Protein IDO15294
- Protein NameUDP-N-acetylglucosamine--peptide N-acetylglucosaminyltransferase 110 kDa subunit
- Scientific DescriptionO-linked N-acetylglucosamine (O-GlcNAc) transferase (OGT) catalyzes the addition of a single N-acetylglucosamine in O-glycosidic linkage to serine or threonine residues. Since both phosphorylation and glycosylation compete for similar serine or threonine residues, the two processes may compete for sites, or they may alter the substrate specificity of nearby sites by steric or electrostatic effects. The protein contains nine tetratricopeptide repeats and a putative bipartite nuclear localization signal. Two alternatively spliced transcript variants encoding distinct isoforms have been found for this gene. [provided by RefSeq]
- ReactivityHuman, Mouse, Rat
- Storage Instruction-20°C or -80°C,2°C to 8°C
- UNSPSC41116161






![O-GlcNAc transferase antibody detects O-GlcNAc transferase protein at nucleus by immunofluorescent analysis. Sample: HeLa cells were fixed in 4% paraformaldehyde at RT for 15 min. Green: O-GlcNAc transferase stained by O-GlcNAc transferase antibody (GTX109939) diluted at 1:500. Red: alpha Tubulin, a cytoskeleton marker, stained by alpha Tubulin antibody [GT114] (GTX628802) diluted at 1:1000. Scale bar= 10μm. O-GlcNAc transferase antibody detects O-GlcNAc transferase protein at nucleus by immunofluorescent analysis. Sample: HeLa cells were fixed in 4% paraformaldehyde at RT for 15 min. Green: O-GlcNAc transferase stained by O-GlcNAc transferase antibody (GTX109939) diluted at 1:500. Red: alpha Tubulin, a cytoskeleton marker, stained by alpha Tubulin antibody [GT114] (GTX628802) diluted at 1:1000. Scale bar= 10μm.](https://www.genetex.com/upload/website/prouct_img/normal/GTX109939/GTX109939_44601_20220401_ICC_IF_w_23060500_865.webp)









![Immunohistochemical analysis (whole mount) of zebrafish embryo, using O-GlcNAc transferase antibody [N1N2], N-term (GTX110136) at 1:200 dilution.](https://www.genetex.com/upload/website/prouct_img/normal/GTX110136/GTX110136_40037_IHC-Wm_Z_22111423_841.webp)