
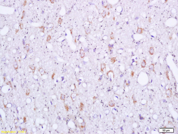
Paraformaldehyde-fixed, paraffin embedded Mouse brain; Antigen retrieval by boiling in sodium citrate buffer (pH6.0) for 15min; Block endogenous peroxidase by 3% hydrogen peroxide for 20 minutes; Blocking buffer (normal goat serum) at 37°C for 30min; Antibody incubation with OPRS1 Polyclonal Antibody, Unconjugated (bs-5111R) at 1:400 overnight at 4°C, DAB staining.
OPRS1 Polyclonal Antibody
BS-5111R
ApplicationsImmunoFluorescence, Western Blot, ELISA, ImmunoCytoChemistry, ImmunoHistoChemistry, ImmunoHistoChemistry Frozen, ImmunoHistoChemistry Paraffin
Product group Antibodies
ReactivityBovine, Canine, Human, Mouse, Porcine, Rabbit, Rat
TargetSIGMAR1
Overview
- SupplierBioss
- Product NameOPRS1 Polyclonal Antibody
- Delivery Days Customer16
- ApplicationsImmunoFluorescence, Western Blot, ELISA, ImmunoCytoChemistry, ImmunoHistoChemistry, ImmunoHistoChemistry Frozen, ImmunoHistoChemistry Paraffin
- Applications SupplierWB(1:300-5000), ELISA(1:500-1000), IHC-P(1:200-400), IHC-F(1:100-500), IF(IHC-P)(1:50-200), IF(IHC-F)(1:50-200), IF(ICC)(1:50-200)
- CertificationResearch Use Only
- ClonalityPolyclonal
- Concentration1 ug/ul
- ConjugateUnconjugated
- Gene ID10280
- Target nameSIGMAR1
- Target descriptionsigma non-opioid intracellular receptor 1
- Target synonymsALS16, DSMA2, HMNR2, OPRS1, SIG-1R, SR-BP, SR-BP1, SRBP, hSigmaR1, sigma1R, sigma non-opioid intracellular receptor 1, SR31747 binding protein 1, aging-associated gene 8 protein, sigma 1-type opioid receptor
- HostRabbit
- IsotypeIgG
- Protein IDQ99720
- Protein NameSigma non-opioid intracellular receptor 1
- ReactivityBovine, Canine, Human, Mouse, Porcine, Rabbit, Rat
- Storage Instruction-20°C
- UNSPSC41116161







![Various tissue extracts (50 μg) were separated by 12% SDS-PAGE, and the membrane was blotted with SIGMAR1 antibody [N1C3] (GTX115389) diluted at 1:1000. The HRP-conjugated anti-rabbit IgG antibody (GTX213110-01) was used to detect the primary antibody.](https://www.genetex.com/upload/website/prouct_img/normal/GTX115389/GTX115389_44343_20230303_WB_M_R_23030717_755.webp)