![WB analysis of human ovary tissue lysate using GTX17287 Orai1 antibody [3F6H5]. Working concentration : (A) 1 and (B) 2 microg/ml WB analysis of human ovary tissue lysate using GTX17287 Orai1 antibody [3F6H5]. Working concentration : (A) 1 and (B) 2 microg/ml](https://www.genetex.com/upload/website/prouct_img/normal/GTX17287/GTX17287_2435_WB_20180221_w_23060620_440.webp)
WB analysis of human ovary tissue lysate using GTX17287 Orai1 antibody [3F6H5]. Working concentration : (A) 1 and (B) 2 microg/ml
Orai1 antibody [3F6H5]
GTX17287
ApplicationsWestern Blot, ELISA, ImmunoHistoChemistry, ImmunoHistoChemistry Paraffin
Product group Antibodies
TargetORAI1
Overview
- SupplierGeneTex
- Product NameOrai1 antibody [3F6H5]
- Delivery Days Customer9
- Application Supplier NoteWB: 1 - 2 microg/mL. IHC-P: 2.5 microg/mL. *Optimal dilutions/concentrations should be determined by the researcher.Not tested in other applications.
- ApplicationsWestern Blot, ELISA, ImmunoHistoChemistry, ImmunoHistoChemistry Paraffin
- CertificationResearch Use Only
- ClonalityMonoclonal
- Clone ID3F6H5
- Concentration1 mg/ml
- ConjugateUnconjugated
- Gene ID84876
- Target nameORAI1
- Target descriptionORAI calcium release-activated calcium modulator 1
- Target synonymsCRACM1, IMD9, ORAT1, TAM2, TMEM142A, calcium release-activated calcium channel protein 1, calcium release-activated calcium modulator 1, protein orai-1, transmembrane protein 142A
- HostMouse
- IsotypeIgG1
- Protein IDQ96D31
- Protein NameCalcium release-activated calcium channel protein 1
- Scientific DescriptionThe protein encoded by this gene is a membrane calcium channel subunit that is activated by the calcium sensor STIM1 when calcium stores are depleted. This type of channel is the primary way for calcium influx into T-cells. Defects in this gene are a cause of immune dysfunction with T-cell inactivation due to calcium entry defect type 1 (IDTICED1). [provided by RefSeq, Sep 2011]
- Storage Instruction-20°C or -80°C,2°C to 8°C
- UNSPSC12352203
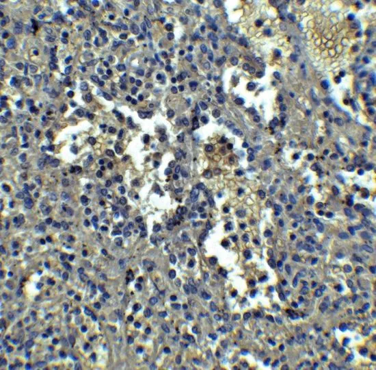
![IHC-P analysis of human spleen tissue using GTX17287 Orai1 antibody [3F6H5]. Working concentration : 5 microg/ml IHC-P analysis of human spleen tissue using GTX17287 Orai1 antibody [3F6H5]. Working concentration : 5 microg/ml](https://www.genetex.com/upload/website/prouct_img/normal/GTX17287/GTX17287_837_IHC-P_20180221_w_23060620_247.webp)
![IHC-P analysis of human spleen tissue using GTX17287 Orai1 antibody [3F6H5]. Working concentration : 20 microg/ml IHC-P analysis of human spleen tissue using GTX17287 Orai1 antibody [3F6H5]. Working concentration : 20 microg/ml](https://www.genetex.com/upload/website/prouct_img/normal/GTX17287/GTX17287_839_IHC-P_20180221_w_23060620_851.webp)

![WB analysis of human spleen tissue lysate using GTX17289 Orai1 antibody [6D11A11]. Working concentration : (A) 1 and (B) 2 microg/ml](https://www.genetex.com/upload/website/prouct_img/normal/GTX17289/GTX17289_2436_WB_20180221_w_23060620_694.webp)




