
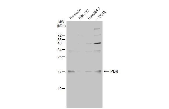
Various whole cell extracts (30 μg) were separated by 15% SDS-PAGE, and the membrane was blotted with PBR antibody (GTX134851) diluted at 1:1000. The HRP-conjugated anti-rabbit IgG antibody (GTX213110-01) was used to detect the primary antibody.
PBR antibody
GTX134851
ApplicationsWestern Blot
Product group Antibodies
ReactivityHuman, Mouse, Rat
TargetTSPO
Overview
- SupplierGeneTex
- Product NamePBR antibody
- Delivery Days Customer9
- Application Supplier NoteWB: 1:500-1:3000. *Optimal dilutions/concentrations should be determined by the researcher.Not tested in other applications.
- ApplicationsWestern Blot
- CertificationResearch Use Only
- ClonalityPolyclonal
- Concentration1.04 mg/ml
- ConjugateUnconjugated
- Gene ID706
- Target nameTSPO
- Target descriptiontranslocator protein
- Target synonymsBPBS, BZRP, DBI, IBP, MBR, PBR, PBS, PKBS, PTBR, TSPO1, mDRC, pk18, translocator protein, benzodiazepine peripheral binding site, mitochondrial benzodiazepine receptor, peripheral-type benzodiazepine receptor
- HostRabbit
- IsotypeIgG
- Protein IDP30536
- Protein NameTranslocator protein
- Scientific DescriptionPresent mainly in the mitochondrial compartment of peripheral tissues, the protein encoded by this gene interacts with some benzodiazepines and has different affinities than its endogenous counterpart. The protein is a key factor in the flow of cholesterol into mitochondria to permit the initiation of steroid hormone synthesis. Alternatively spliced transcript variants have been reported; one of the variants lacks an internal exon and is considered non-coding, and the other variants encode the same protein. [provided by RefSeq, Feb 2012]
- ReactivityHuman, Mouse, Rat
- Storage Instruction-20°C or -80°C,2°C to 8°C
- UNSPSC12352203







