
Sample (30 μg whole cell lysate) A: HepG2 (GTX27900) 7.5% SDS PAGE GTX105204 diluted at 1:1000 The HRP-conjugated anti-rabbit IgG antibody (GTX213110-01) was used to detect the primary antibody.
PCCB antibody [N2C3]
GTX105204
ApplicationsImmunoFluorescence, Western Blot, ImmunoCytoChemistry, ImmunoHistoChemistry, ImmunoHistoChemistry Paraffin
Product group Antibodies
ReactivityHuman, Mouse
TargetPCCB
Overview
- SupplierGeneTex
- Product NamePCCB antibody [N2C3]
- Delivery Days Customer9
- Application Supplier NoteWB: 1:500-1:3000. ICC/IF: 1:100-1:1000. IHC-P: 1:100-1:1000. *Optimal dilutions/concentrations should be determined by the researcher.Not tested in other applications.
- ApplicationsImmunoFluorescence, Western Blot, ImmunoCytoChemistry, ImmunoHistoChemistry, ImmunoHistoChemistry Paraffin
- CertificationResearch Use Only
- ClonalityPolyclonal
- Concentration0.54 mg/ml
- ConjugateUnconjugated
- Gene ID5096
- Target namePCCB
- Target descriptionpropionyl-CoA carboxylase subunit beta
- Target synonymspropionyl-CoA carboxylase beta chain, mitochondrial, PCCase subunit beta, propanoyl-CoA:carbon dioxide ligase subunit beta, propionyl CoA carboxylase, beta polypeptide, propionyl Coenzyme A carboxylase, beta polypeptide, propionyl-CoA carboxylase beta subunit
- HostRabbit
- IsotypeIgG
- Protein IDP05166
- Protein NamePropionyl-CoA carboxylase beta chain, mitochondrial
- Scientific DescriptionThe protein encoded by this gene is a subunit of the propionyl-CoA carboxylase (PCC) enzyme, which is involved in the catabolism of propionyl-CoA. PCC is a mitochondrial enzyme that probably acts as a dodecamer of six alpha subunits and six beta subunits. This gene encodes the beta subunit of PCC. Defects in this gene are a cause of propionic acidemia type II (PA-2). [provided by RefSeq]
- ReactivityHuman, Mouse
- Storage Instruction-20°C or -80°C,2°C to 8°C
- UNSPSC41116161


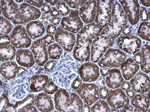
![PCCB antibody [N2C3] detects PCCB protein at mitochondria on mouse kidney by immunohistochemical analysis. Sample: Paraffin-embedded mouse kidney. PCCB antibody [N2C3] (GTX105204) diluted at 1:500.
Antigen Retrieval: Trilogy? (EDTA based, pH 8.0) buffer, 15min PCCB antibody [N2C3] detects PCCB protein at mitochondria on mouse kidney by immunohistochemical analysis. Sample: Paraffin-embedded mouse kidney. PCCB antibody [N2C3] (GTX105204) diluted at 1:500.
Antigen Retrieval: Trilogy? (EDTA based, pH 8.0) buffer, 15min](https://www.genetex.com/upload/website/prouct_img/normal/GTX105204/GTX105204_39897_20150116_IHC_M_w_23060120_232.webp)








