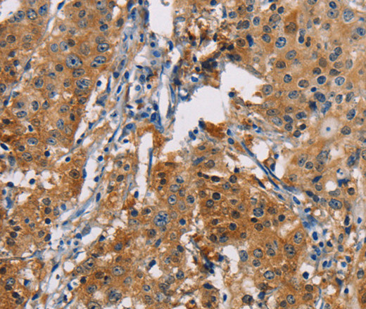
Immunohistochemistry of paraffin-embedded Human gastric cancer tissue using PDCD1LG2 Polyclonal Antibody at dilution 1:50
PDCD1LG2 Polyclonal Antibody
E-AB-14781
Product group Antibodies
Overview
- SupplierElabscience
- Product NamePDCD1LG2 Polyclonal Antibody
- Delivery Days Customer12
- Applications SupplierELISA IHC
- CertificationResearch Use Only
- Concentration0.5mg/ml
- Scientific DescriptionProgrammed cell death 1 ligand 2(also known as PD-L2, B7-DC) is aproteinthat in humans is encoded by thePDCD1LG2gene.PDCD1LG2 has also been designated asCD273(cluster of differentiation273). Involved in the costimulatory signal, essential for T-cell proliferation and IFNG production in a PDCD1-independent manner. Interaction with PDCD1 inhibits T-cell proliferation by blocking cell cycle progression and cytokine production.
- UNSPSC12352203







