
IHC-P analysis of human mammary cancer tissue using GTX55744 PGD antibody. Dilution : 1:100
PGD antibody
GTX55744
ApplicationsWestern Blot, ImmunoHistoChemistry, ImmunoHistoChemistry Paraffin
Product group Antibodies
ReactivityHuman, Mouse, Rat
TargetPGD
Overview
- SupplierGeneTex
- Product NamePGD antibody
- Delivery Days Customer9
- Application Supplier NoteWB: 1:500 - 1:2000. IHC-P: 1:50 - 1:200. *Optimal dilutions/concentrations should be determined by the researcher.Not tested in other applications.
- ApplicationsWestern Blot, ImmunoHistoChemistry, ImmunoHistoChemistry Paraffin
- CertificationResearch Use Only
- ClonalityPolyclonal
- ConjugateUnconjugated
- Gene ID5226
- Target namePGD
- Target descriptionphosphogluconate dehydrogenase
- Target synonyms6PGD, 6-phosphogluconate dehydrogenase, decarboxylating
- HostRabbit
- IsotypeIgG
- Protein IDP52209
- Protein Name6-phosphogluconate dehydrogenase, decarboxylating
- Scientific Description6-phosphogluconate dehydrogenase is the second dehydrogenase in the pentose phosphate shunt. Deficiency of this enzyme is generally asymptomatic, and the inheritance of this disorder is autosomal dominant. Hemolysis results from combined deficiency of 6-phosphogluconate dehydrogenase and 6-phosphogluconolactonase suggesting a synergism of the two enzymopathies. Several transcript variants encoding different isoforms have been found for this gene. [provided by RefSeq, Jan 2015]
- ReactivityHuman, Mouse, Rat
- Storage Instruction-20°C or -80°C,2°C to 8°C
- UNSPSC41116161








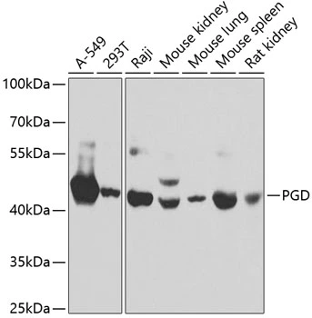
![PGD antibody [N1N3] detects PGD protein by western blot analysis. Mouse tissue extracts (50 μg) was separated by 10% SDS-PAGE, and the membrane was blotted with PGD antibody [N1N3] (GTX101703) diluted at 1:500. The HRP-conjugated anti-rabbit IgG antibody (GTX213110-01) was used to detect the primary antibody.](https://www.genetex.com/upload/website/prouct_img/normal/GTX101703/GTX101703_39946_20151029_WB_M_lung_w_23060100_290.webp)
