![Various tissue extracts (50 μg) were separated by 12% SDS-PAGE, and the membrane was blotted with PGP9.5 antibody [HL3391] (GTX641211) diluted at 1:1000. The HRP-conjugated anti-rabbit IgG antibody (GTX213110-01) was used to detect the primary antibody. Various tissue extracts (50 μg) were separated by 12% SDS-PAGE, and the membrane was blotted with PGP9.5 antibody [HL3391] (GTX641211) diluted at 1:1000. The HRP-conjugated anti-rabbit IgG antibody (GTX213110-01) was used to detect the primary antibody.](https://www.genetex.com/upload/website/prouct_img/normal/GTX641211/GTX641211_T-45572_20241025_WB_M_R_24103022_277.webp)
Various tissue extracts (50 μg) were separated by 12% SDS-PAGE, and the membrane was blotted with PGP9.5 antibody [HL3391] (GTX641211) diluted at 1:1000. The HRP-conjugated anti-rabbit IgG antibody (GTX213110-01) was used to detect the primary antibody.
PGP9.5 antibody [HL3391]
GTX641211
ApplicationsWestern Blot, ImmunoHistoChemistry, ImmunoHistoChemistry Frozen, ImmunoHistoChemistry Paraffin
Product group Antibodies
ReactivityHuman, Mouse, Rat
TargetUCHL1
Overview
- SupplierGeneTex
- Product NamePGP9.5 antibody [HL3391]
- Delivery Days Customer7
- ApplicationsWestern Blot, ImmunoHistoChemistry, ImmunoHistoChemistry Frozen, ImmunoHistoChemistry Paraffin
- CertificationResearch Use Only
- ClonalityMonoclonal
- Clone IDHL3391
- Concentration1 mg/ml
- ConjugateUnconjugated
- Gene ID7345
- Target nameUCHL1
- Target descriptionubiquitin C-terminal hydrolase L1
- Target synonymsHEL-117, HEL-S-53, NDGOA, PARK5, PGP 9.5, PGP9.5, PGP95, SPG79, SPG79A, UCHL-1, Uch-L1, ubiquitin carboxyl-terminal hydrolase isozyme L1, epididymis luminal protein 117, epididymis secretory protein Li 53, neuron cytoplasmic protein 9.5, ubiquitin carboxyl-terminal esterase L1 (ubiquitin thiolesterase), ubiquitin thioesterase L1, ubiquitin thiolesterase
- HostRabbit
- IsotypeIgG
- Protein IDP09936
- Protein NameUbiquitin carboxyl-terminal hydrolase isozyme L1
- Scientific DescriptionThe protein encoded by this gene belongs to the peptidase C12 family. This enzyme is a thiol protease that hydrolyzes a peptide bond at the C-terminal glycine of ubiquitin. This gene is specifically expressed in the neurons and in cells of the diffuse neuroendocrine system. Mutations in this gene may be associated with Parkinson disease.[provided by RefSeq, Sep 2009]
- ReactivityHuman, Mouse, Rat
- Storage Instruction-20°C or -80°C,2°C to 8°C
- UNSPSC41116161
![Various whole cell extracts (30 μg) were separated by 12% SDS-PAGE, and the membrane was blotted with PGP9.5 antibody [HL3391] (GTX641211) diluted at 1:1000. The HRP-conjugated anti-rabbit IgG antibody (GTX213110-01) was used to detect the primary antibody. Corresponding RNA expression data for the same cell lines are based on Human Protein Atlas program. Various whole cell extracts (30 μg) were separated by 12% SDS-PAGE, and the membrane was blotted with PGP9.5 antibody [HL3391] (GTX641211) diluted at 1:1000. The HRP-conjugated anti-rabbit IgG antibody (GTX213110-01) was used to detect the primary antibody. Corresponding RNA expression data for the same cell lines are based on Human Protein Atlas program.](https://www.genetex.com/upload/website/prouct_img/normal/GTX641211/GTX641211_T-45572_20241025_WB_TPM_watermark_24103022_462.webp)
![PGP9.5 antibody [HL3391] detects PGP9.5 protein by immunohistochemical analysis. Sample: Paraffin-embedded human tissues. PGP9.5 stained by PGP9.5 antibody [HL3391] (GTX641211) diluted at 1:1000. Antigen Retrieval: Citrate buffer, pH 6.0, 15 min PGP9.5 antibody [HL3391] detects PGP9.5 protein by immunohistochemical analysis. Sample: Paraffin-embedded human tissues. PGP9.5 stained by PGP9.5 antibody [HL3391] (GTX641211) diluted at 1:1000. Antigen Retrieval: Citrate buffer, pH 6.0, 15 min](https://www.genetex.com/upload/website/prouct_img/normal/GTX641211/GTX641211_45628_20250509_IHC-P_Multiple_RPKM_25051420_239.webp)
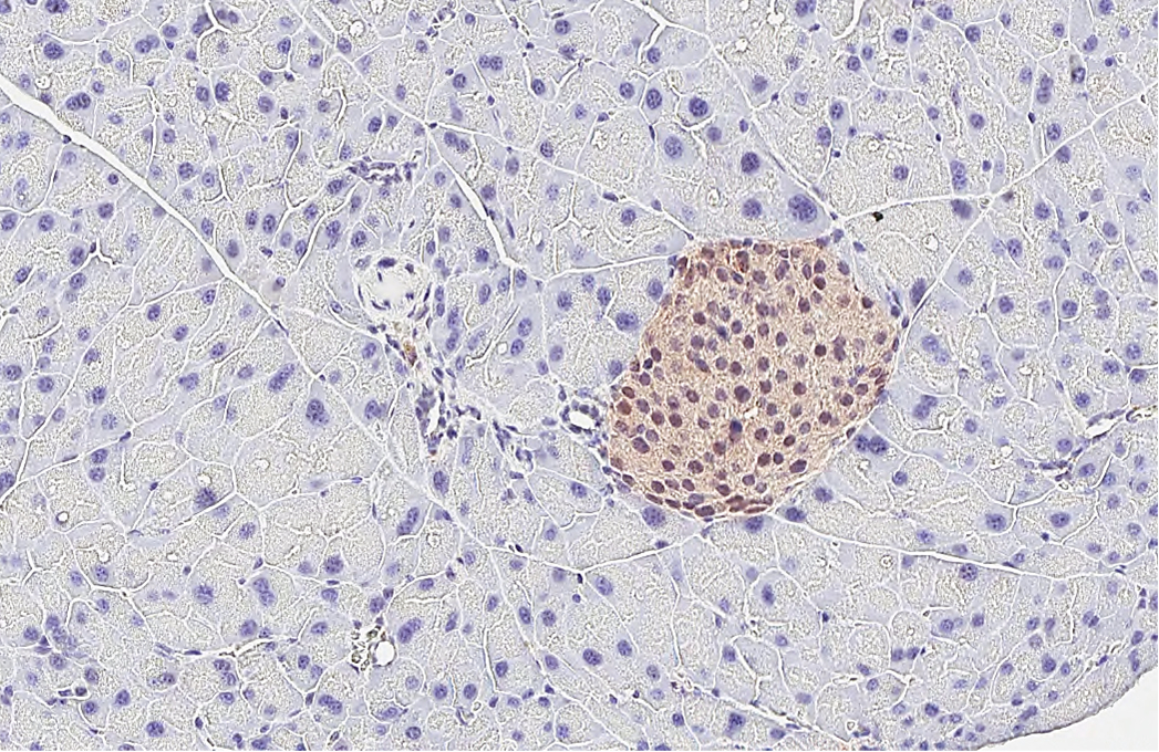
![PGP9.5 antibody [HL3391] detects PGP9.5 protein by immunohistochemical analysis. Sample: Paraffin-embedded human pancreas. PGP9.5 stained by PGP9.5 antibody [HL3391] (GTX641211) diluted at 1:1000. Antigen Retrieval: Citrate buffer, pH 6.0, 15 min PGP9.5 antibody [HL3391] detects PGP9.5 protein by immunohistochemical analysis. Sample: Paraffin-embedded human pancreas. PGP9.5 stained by PGP9.5 antibody [HL3391] (GTX641211) diluted at 1:1000. Antigen Retrieval: Citrate buffer, pH 6.0, 15 min](https://www.genetex.com/upload/website/prouct_img/normal/GTX641211/GTX641211_45628_20250509_IHC-P_25051420_372.webp)
![PGP9.5 antibody [HL3391] detects PGP9.5 protein by immunohistochemical analysis. Sample: Paraffin-embedded mouse pancreas. PGP9.5 stained by PGP9.5 antibody [HL3391] (GTX641211) diluted at 1:1000. Antigen Retrieval: Citrate buffer, pH 6.0, 15 min PGP9.5 antibody [HL3391] detects PGP9.5 protein by immunohistochemical analysis. Sample: Paraffin-embedded mouse pancreas. PGP9.5 stained by PGP9.5 antibody [HL3391] (GTX641211) diluted at 1:1000. Antigen Retrieval: Citrate buffer, pH 6.0, 15 min](https://www.genetex.com/upload/website/prouct_img/normal/GTX641211/GTX641211_45628_20250509_IHC-P_M_1_25051420_937.webp)
![PGP9.5 antibody [HL3391] detects PGP9.5 protein by immunohistochemical analysis. Sample: Paraffin-embedded mouse tissues. PGP9.5 stained by PGP9.5 antibody [HL3391] (GTX641211) diluted at 1:1000. Antigen Retrieval: Citrate buffer, pH 6.0, 15 min PGP9.5 antibody [HL3391] detects PGP9.5 protein by immunohistochemical analysis. Sample: Paraffin-embedded mouse tissues. PGP9.5 stained by PGP9.5 antibody [HL3391] (GTX641211) diluted at 1:1000. Antigen Retrieval: Citrate buffer, pH 6.0, 15 min](https://www.genetex.com/upload/website/prouct_img/normal/GTX641211/GTX641211_45628_20250509_IHC-P_M_multiple_KPKM_25051420_145.webp)
![PGP9.5 antibody [HL3391] detects PGP9.5 protein by immunohistochemical analysis. Sample: Paraffin-embedded mouse eye. Green: PGP9.5 stained by PGP9.5 antibody [HL3391] (GTX641211) diluted at 1:1000. Red: beta Tubulin 3/ Tuj1 antibody [GT11710] (GTX631836) diluted at 1:500. Blue: Fluoroshield with DAPI (GTX30920). Antigen Retrieval: Citrate buffer, pH 6.0, 15 min PGP9.5 antibody [HL3391] detects PGP9.5 protein by immunohistochemical analysis. Sample: Paraffin-embedded mouse eye. Green: PGP9.5 stained by PGP9.5 antibody [HL3391] (GTX641211) diluted at 1:1000. Red: beta Tubulin 3/ Tuj1 antibody [GT11710] (GTX631836) diluted at 1:500. Blue: Fluoroshield with DAPI (GTX30920). Antigen Retrieval: Citrate buffer, pH 6.0, 15 min](https://www.genetex.com/upload/website/prouct_img/normal/GTX641211/GTX641211_45628_20250509_IHC-P_M_2_25051420_402.webp)
![PGP9.5 antibody [HL3391] detects PGP9.5 protein by immunohistochemical analysis. Sample: Frozen-sectioned mouse colon. Green: PGP9.5 stained by PGP9.5 antibody [HL3391] (GTX641211) diluted at 1:250. Red: beta Tubulin 3/ Tuj1 antibody [GT11710] (GTX631836) diluted at 1:500. Blue: Hoechst 33342 staining. PGP9.5 antibody [HL3391] detects PGP9.5 protein by immunohistochemical analysis. Sample: Frozen-sectioned mouse colon. Green: PGP9.5 stained by PGP9.5 antibody [HL3391] (GTX641211) diluted at 1:250. Red: beta Tubulin 3/ Tuj1 antibody [GT11710] (GTX631836) diluted at 1:500. Blue: Hoechst 33342 staining.](https://www.genetex.com/upload/website/prouct_img/normal/GTX641211/GTX641211_45628_20250516_IHC-Fr_M_25061003_260.webp)







