
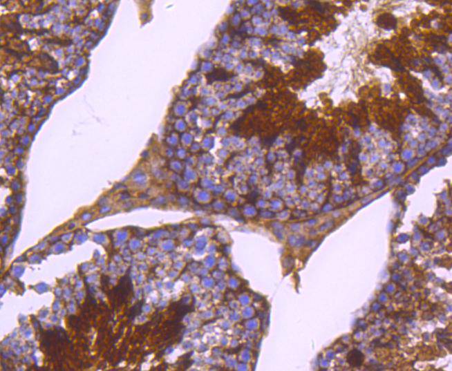
Paraformaldehyde-fixed, paraffin embedded Mouse testis; Antigen retrieval by boiling in sodium citrate buffer (pH6.0) for 15min; Block endogenous peroxidase by 3% hydrogen peroxide for 20 minutes; Blocking buffer (normal goat serum) at 37°C for 30min; Antibody incubation with Phospho-PKA R2 (S99) Monoclonal Antibody, Unconjugated (bsm-54545R) at 1:50 for 30 minutes at room temperature, DAB staining.
Phospho-PKA R2 (S99) Monoclonal Antibody
BSM-54545R
ApplicationsImmunoFluorescence, ImmunoPrecipitation, Western Blot, ImmunoCytoChemistry, ImmunoHistoChemistry, ImmunoHistoChemistry Paraffin
Product group Antibodies
ReactivityHuman, Mouse, Porcine, Rat
TargetPRKAR2A
Overview
- SupplierBioss
- Product NamePhospho-PKA R2 (S99) Monoclonal Antibody
- Delivery Days Customer16
- ApplicationsImmunoFluorescence, ImmunoPrecipitation, Western Blot, ImmunoCytoChemistry, ImmunoHistoChemistry, ImmunoHistoChemistry Paraffin
- Applications SupplierWB(1:300-5000), IHC-P(1:200-400), IF(ICC)(1:50-200), IP(1-2ug), IHC()
- CertificationResearch Use Only
- ClonalityMonoclonal
- Clone ID4H11
- Concentration1 ug/ul
- ConjugateUnconjugated
- Gene ID5576
- Target namePRKAR2A
- Target descriptionprotein kinase cAMP-dependent type II regulatory subunit alpha
- Target synonymsPKR2, PRKAR2, cAMP-dependent protein kinase type II-alpha regulatory subunit, cAMP-dependent protein kinase regulatory subunit RII alpha, protein kinase A, RII-alpha subunit, protein kinase, cAMP-dependent, regulatory subunit type II alpha
- HostRabbit
- IsotypeIgG
- Protein IDP13861
- Protein NamecAMP-dependent protein kinase type II-alpha regulatory subunit
- ReactivityHuman, Mouse, Porcine, Rat
- Storage Instruction-20°C
- UNSPSC12352203








