
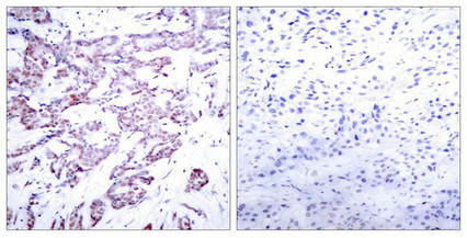
Immunohistochemical analysis of paraffin-embedded human breast carcinoma tissue using STAT6(Phospho-Thr645) Antibody(left) or the same antibody preincubated with blocking peptide(right).
Phospho-STAT6 (Thr645) Antibody
CSB-PA204581
ApplicationsWestern Blot, ELISA, ImmunoHistoChemistry
Product group Antibodies
ReactivityHuman
TargetSTAT6
Overview
- SupplierCusabio
- Product NamePhospho-STAT6 (Thr645) Antibody
- Delivery Days Customer20
- ApplicationsWestern Blot, ELISA, ImmunoHistoChemistry
- CertificationResearch Use Only
- ClonalityPolyclonal
- ConjugateUnconjugated
- Gene ID6778
- Target nameSTAT6
- Target descriptionsignal transducer and activator of transcription 6
- Target synonymsD12S1644, HIES6, IL-4-STAT, STAT6B, STAT6C, signal transducer and activator of transcription 6, STAT, interleukin4-induced, signal transducer and activator of transcription 6, interleukin-4 induced, transcription factor IL-4 STAT
- HostRabbit
- IsotypeIgG
- Protein IDP42226
- Protein NameSignal transducer and activator of transcription 6
- Scientific DescriptionCarries out a dual function: signal transduction and activation of transcription. Involved in interleukin-4 signalling. Nelms K, et al. (1999) Annu Rev Immunol. 17:701-738. Malabarba M G, et al. (1996) Biochem. J. 319:865-872. Hou J, et al. (1994) Science. 265:1701-1706. Quelle F W, et al. (1995) Mol Cell Biol. 15: 3336-3343. Takeda K, et al. (1996) Nature. 380: 627-630.
- ReactivityHuman
- Storage Instruction-20°C or -80°C
- UNSPSC41116161





