![Various whole cell extracts (30 μg) were separated by 7.5% SDS-PAGE, and the membrane was blotted with PKC theta antibody [N1N3-2] (GTX110127) diluted at 1:500. The HRP-conjugated anti-rabbit IgG antibody (GTX213110-01) was used to detect the primary antibody. Various whole cell extracts (30 μg) were separated by 7.5% SDS-PAGE, and the membrane was blotted with PKC theta antibody [N1N3-2] (GTX110127) diluted at 1:500. The HRP-conjugated anti-rabbit IgG antibody (GTX213110-01) was used to detect the primary antibody.](https://www.genetex.com/upload/website/prouct_img/normal/GTX110127/GTX110127_40674_20190530_WB_w_23060500_142.webp)
Various whole cell extracts (30 μg) were separated by 7.5% SDS-PAGE, and the membrane was blotted with PKC theta antibody [N1N3-2] (GTX110127) diluted at 1:500. The HRP-conjugated anti-rabbit IgG antibody (GTX213110-01) was used to detect the primary antibody.
PKC theta antibody [N1N3-2]
GTX110127
ApplicationsWestern Blot, ImmunoHistoChemistry, ImmunoHistoChemistry Paraffin
Product group Antibodies
ReactivityHuman, Mouse
TargetPRKCQ
Overview
- SupplierGeneTex
- Product NamePKC theta antibody [N1N3-2]
- Delivery Days Customer9
- Application Supplier NoteWB: 1:500-1:3000. IHC-P: 1:100-1:1000. *Optimal dilutions/concentrations should be determined by the researcher.Not tested in other applications.
- ApplicationsWestern Blot, ImmunoHistoChemistry, ImmunoHistoChemistry Paraffin
- CertificationResearch Use Only
- ClonalityPolyclonal
- Concentration1 mg/ml
- ConjugateUnconjugated
- Gene ID5588
- Target namePRKCQ
- Target descriptionprotein kinase C theta
- Target synonymsPRKCT, nPKC-theta, protein kinase C theta type
- HostRabbit
- IsotypeIgG
- Protein IDQ04759
- Protein NameProtein kinase C theta type
- Scientific DescriptionProtein kinase C (PKC) is a family of serine- and threonine-specific protein kinases that can be activated by calcium and the second messenger diacylglycerol. PKC family members phosphorylate a wide variety of protein targets and are known to be involved in diverse cellular signaling pathways. PKC family members also serve as major receptors for phorbol esters, a class of tumor promoters. Each member of the PKC family has a specific expression profile and is believed to play a distinct role. The protein encoded by this gene is one of the PKC family members. It is a calcium-independent and phospholipid-dependent protein kinase. This kinase is important for T-cell activation. It is required for the activation of the transcription factors NF-kappaB and AP-1, and may link the T cell receptor (TCR) signaling complex to the activation of the transcription factors. [provided by RefSeq]
- ReactivityHuman, Mouse
- Storage Instruction-20°C or -80°C,2°C to 8°C
- UNSPSC12352203


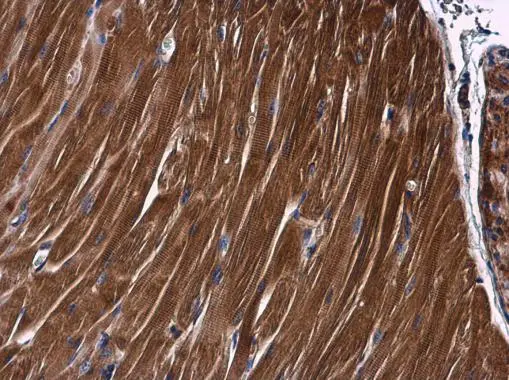
![PKC theta antibody [N1N3-2] detects PKC theta protein at cytoplasm in mouse muscle by immunohistochemical analysis. Sample: Paraffin-embedded mouse muscle. PKC theta antibody [N1N3-2] (GTX110127) diluted at 1:500.
Antigen Retrieval: Citrate buffer, pH 6.0, 15 min PKC theta antibody [N1N3-2] detects PKC theta protein at cytoplasm in mouse muscle by immunohistochemical analysis. Sample: Paraffin-embedded mouse muscle. PKC theta antibody [N1N3-2] (GTX110127) diluted at 1:500.
Antigen Retrieval: Citrate buffer, pH 6.0, 15 min](https://www.genetex.com/upload/website/prouct_img/normal/GTX110127/GTX110127_40674_20150806_IHC-P_M_w_23060500_240.webp)



![PKC theta (phospho Thr219) antibody [HL1157] detects PKC theta (phospho Thr219) protein by immunofluorescent analysis. Sample: Mock and treated Jurkat cells were fixed in 4% paraformaldehyde at RT for 15 min. Green: PKC theta (phospho Thr219) stained by PKC theta (phospho Thr219) antibody [HL1157] (GTX636461) diluted at 1:500. Blue: Fluoroshield with DAPI (GTX30920).](https://www.genetex.com/upload/website/prouct_img/normal/GTX636461/GTX636461_44473_20221230_ICC_IF_treatment_PMA_23010219_131.webp)


