
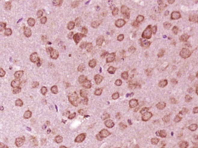
Paraformaldehyde-fixed, paraffin embedded Rat liver; Antigen retrieval by boiling in sodium citrate buffer (pH6.0) for 15min; Block endogenous peroxidase by 3% hydrogen peroxide for 20 minutes; Blocking buffer (normal goat serum) at 37°C for 30min; Antibody incubation with PLEKHG5 Polyclonal Antibody, Unconjugated (bs-12455R) at 1:400 overnight at 4°C, DAB staining.
PLEKHG5 Polyclonal Antibody
BS-12455R
ApplicationsImmunoFluorescence, ELISA, ImmunoCytoChemistry, ImmunoHistoChemistry, ImmunoHistoChemistry Frozen, ImmunoHistoChemistry Paraffin
Product group Antibodies
ReactivityBovine, Canine, Equine, Human, Mouse, Porcine, Rabbit, Rat
TargetPLEKHG5
Overview
- SupplierBioss
- Product NamePLEKHG5 Polyclonal Antibody
- Delivery Days Customer16
- ApplicationsImmunoFluorescence, ELISA, ImmunoCytoChemistry, ImmunoHistoChemistry, ImmunoHistoChemistry Frozen, ImmunoHistoChemistry Paraffin
- Applications SupplierELISA(1:500-1000), IHC-P(1:200-400), IHC-F(1:100-500), IF(IHC-P)(1:50-200), IF(IHC-F)(1:50-200), IF(ICC)(1:50-200)
- CertificationResearch Use Only
- ClonalityPolyclonal
- Concentration1 ug/ul
- ConjugateUnconjugated
- Gene ID57449
- Target namePLEKHG5
- Target descriptionpleckstrin homology and RhoGEF domain containing G5
- Target synonymsARHGEF45, CMTRIC, DSMA4, GEF720, HMNR4, Syx, Tech, pleckstrin homology domain-containing family G member 5, NFkB activating protein, PH domain-containing family G member 5, guanine nucleotide exchange factor 720, novel PH domain-containing protein, pleckstrin homology domain containing, family G (with RhoGef domain) member 5, synectin-binding guanine exchange factor
- HostRabbit
- IsotypeIgG
- Protein IDO94827
- Protein NamePleckstrin homology domain-containing family G member 5
- ReactivityBovine, Canine, Equine, Human, Mouse, Porcine, Rabbit, Rat
- Storage Instruction-20°C
- UNSPSC12352203




