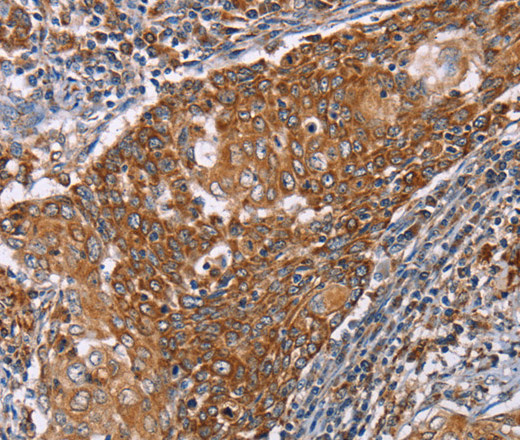
Immunohistochemistry of paraffin-embedded Human cervical cancer tissue using PMPCB Polyclonal Antibody at dilution 1:50
PMPCB Polyclonal Antibody
E-AB-15304
Product group Antibodies
Overview
- SupplierElabscience
- Product NamePMPCB Polyclonal Antibody
- Delivery Days Customer12
- Applications SupplierELISA IHC
- CertificationResearch Use Only
- Concentration0.7mg/ml
- Scientific DescriptionThis gene is a member of the peptidase M16 family and encodes a protein with a zinc-binding motif. This protein is located in the mitochondrial matrix and catalyzes the cleavage of the leader peptides of precursor proteins newly imported into the mitochondria, though it only functions as part of a heterodimeric complex.
- UNSPSC12352203





