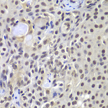
Immunohistochemistry of paraffin-embedded Human well-differentiated squamous skin carcinoma using PRKDC Polyclonal Antibody at dilution of 1:100 (40x lens).
PRKDC Polyclonal Antibody
E-AB-62181
Product group Antibodies
Overview
- SupplierElabscience
- Product NamePRKDC Polyclonal Antibody
- Delivery Days Customer12
- CertificationResearch Use Only
- Scientific DescriptionThis gene encodes the catalytic subunit of the DNA-dependent protein kinase (DNA-PK). It functions with the Ku70/Ku80 heterodimer protein in DNA double strand break repair and recombination. The protein encoded is a member of the PI3/PI4-kinase family.
- UNSPSC12352203





