![IHC-P analysis of rat heart tissue section using GTX00797 Prohibitin antibody [GT1139]. Dlution : 1:100 IHC-P analysis of rat heart tissue section using GTX00797 Prohibitin antibody [GT1139]. Dlution : 1:100](https://www.genetex.com/upload/website/prouct_img/normal/GTX00797/GTX00797_20191101_AP_003_31_w_23053121_356.webp)
IHC-P analysis of rat heart tissue section using GTX00797 Prohibitin antibody [GT1139]. Dlution : 1:100
Prohibitin antibody [GT1139]
GTX00797
ApplicationsWestern Blot, ImmunoHistoChemistry, ImmunoHistoChemistry Paraffin
Product group Antibodies
ReactivityHuman, Mouse, Rat
TargetPHB1
Overview
- SupplierGeneTex
- Product NameProhibitin antibody [GT1139]
- Delivery Days Customer9
- Application Supplier NoteWB: 1:500 - 1:2000. IHC-P: 1:50 - 1:200. *Optimal dilutions/concentrations should be determined by the researcher.Not tested in other applications.
- ApplicationsWestern Blot, ImmunoHistoChemistry, ImmunoHistoChemistry Paraffin
- CertificationResearch Use Only
- ClonalityMonoclonal
- Clone IDGT1139
- ConjugateUnconjugated
- Gene ID5245
- Target namePHB1
- Target descriptionprohibitin 1
- Target synonymsBAP32, HEL-215, HEL-S-54e, PHB, prohibitin 1, epididymis luminal protein 215, epididymis secretory sperm binding protein Li 54e, prohibitin
- HostRabbit
- IsotypeIgG
- Protein IDP35232
- Protein NameProhibitin 1
- Scientific DescriptionThis gene is evolutionarily conserved, and its product is proposed to play a role in hmuan cellular senescence and tumor suppression. Antiproliferative activity is reported to be localized to the 3 UTR, which is proposed to function as a trans-acting regulatory RNA. Several pseudogenes of this gene have been identified. Alternative splicing results in multiple transcript variants. [provided by RefSeq, Jul 2013]
- ReactivityHuman, Mouse, Rat
- Storage Instruction-20°C or -80°C,2°C to 8°C
- UNSPSC41116161
![WB analysis of various samples using GTX00797 Prohibitin antibody [GT1139]. Dilution : 1:1000 Loading : 25 μg WB analysis of various samples using GTX00797 Prohibitin antibody [GT1139]. Dilution : 1:1000 Loading : 25 μg](https://www.genetex.com/upload/website/prouct_img/normal/GTX00797/GTX00797_20200508_WB_w_23053121_482.webp)
![Various whole cell extracts (30 μg) were separated by 12% SDS-PAGE, and the membrane was blotted with Prohibitin antibody [GT1139] (GTX00797) diluted at 1:1000. The HRP-conjugated anti-rabbit IgG antibody (GTX213110-01) was used to detect the primary antibody. Various whole cell extracts (30 μg) were separated by 12% SDS-PAGE, and the membrane was blotted with Prohibitin antibody [GT1139] (GTX00797) diluted at 1:1000. The HRP-conjugated anti-rabbit IgG antibody (GTX213110-01) was used to detect the primary antibody.](https://www.genetex.com/upload/website/prouct_img/normal/GTX00797/GTX00797_4000000007_20200410_WB_w_23053121_590.webp)
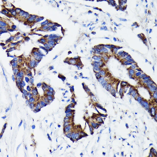
![IHC-P analysis of hmuan colon carcinoma tissue section using GTX00797 Prohibitin antibody [GT1139]. Dlution : 1:100 IHC-P analysis of hmuan colon carcinoma tissue section using GTX00797 Prohibitin antibody [GT1139]. Dlution : 1:100](https://www.genetex.com/upload/website/prouct_img/normal/GTX00797/GTX00797_20191101_AP_003_32_w_23053121_994.webp)
![IHC-P analysis of mouse kidney tissue section using GTX00797 Prohibitin antibody [GT1139]. Dlution : 1:100 IHC-P analysis of mouse kidney tissue section using GTX00797 Prohibitin antibody [GT1139]. Dlution : 1:100](https://www.genetex.com/upload/website/prouct_img/normal/GTX00797/GTX00797_20191101_AP_003_33_w_23053121_330.webp)







