![FACS analysis of HeLa cells using GTX83722 RASD2 antibody [1G1]. Red : Primary antibody Blue : Negative control antibody FACS analysis of HeLa cells using GTX83722 RASD2 antibody [1G1]. Red : Primary antibody Blue : Negative control antibody](https://www.genetex.com/upload/website/prouct_img/normal/GTX83722/GTX83722_147_FACS_w_23061420_130.webp)
FACS analysis of HeLa cells using GTX83722 RASD2 antibody [1G1]. Red : Primary antibody Blue : Negative control antibody
RASD2 antibody [1G1]
GTX83722
ApplicationsFlow Cytometry, Western Blot, ImmunoHistoChemistry, ImmunoHistoChemistry Paraffin
Product group Antibodies
TargetRASD2
Overview
- SupplierGeneTex
- Product NameRASD2 antibody [1G1] - Overexpression Validated
- Delivery Days Customer9
- Application Supplier NoteWB: 1:500-1:2000. IHC-P: 1:150. FACS: 1:100. *Optimal dilutions/concentrations should be determined by the researcher.Not tested in other applications.
- ApplicationsFlow Cytometry, Western Blot, ImmunoHistoChemistry, ImmunoHistoChemistry Paraffin
- CertificationResearch Use Only
- ClonalityMonoclonal
- Clone ID1G1
- Concentration0.66 mg/ml
- ConjugateUnconjugated
- Gene ID23551
- Target nameRASD2
- Target descriptionRASD family member 2
- Target synonymsGTP-binding protein Rhes; Ras homolog enriched in striatum; Rhes; TEM2; tumor endothelial marker 2
- HostMouse
- IsotypeIgG2a
- Protein IDQ96D21
- Protein NameGTP-binding protein Rhes
- Scientific DescriptionGTPase signaling protein that binds to and hydrolyzes GTP. Regulates signaling pathways involving G-proteins-coupled receptor and heterotrimeric proteins such as GNB1, GNB2 and GNB3. May be involved in selected striatal competencies, mainly locomotor activity and motor coordination.
- Storage Instruction-20°C or -80°C,2°C to 8°C
- UNSPSC12352203
![IHC-P analysis of human endometrium adenocarcinoma tissue using GTX83722 RASD2 antibody [1G1]. IHC-P analysis of human endometrium adenocarcinoma tissue using GTX83722 RASD2 antibody [1G1].](https://www.genetex.com/upload/website/prouct_img/normal/GTX83722/GTX83722_1758_IHC-P_w_23061420_328.webp)
![IHC-P analysis of human ovary adenocarcinoma tissue using GTX83722 RASD2 antibody [1G1]. IHC-P analysis of human ovary adenocarcinoma tissue using GTX83722 RASD2 antibody [1G1].](https://www.genetex.com/upload/website/prouct_img/normal/GTX83722/GTX83722_1759_IHC-P_w_23061420_257.webp)
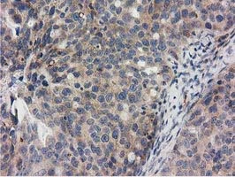
![IHC-P analysis of human bladder carcinoma tissue using GTX83722 RASD2 antibody [1G1]. IHC-P analysis of human bladder carcinoma tissue using GTX83722 RASD2 antibody [1G1].](https://www.genetex.com/upload/website/prouct_img/normal/GTX83722/GTX83722_1760_IHC-P_w_23061420_739.webp)
![IHC-P analysis of human lung carcinoma tissue using GTX83722 RASD2 antibody [1G1]. IHC-P analysis of human lung carcinoma tissue using GTX83722 RASD2 antibody [1G1].](https://www.genetex.com/upload/website/prouct_img/normal/GTX83722/GTX83722_1761_IHC-P_w_23061420_564.webp)
![IHC-P analysis of human kidney tissue using GTX83722 RASD2 antibody [1G1]. IHC-P analysis of human kidney tissue using GTX83722 RASD2 antibody [1G1].](https://www.genetex.com/upload/website/prouct_img/normal/GTX83722/GTX83722_1762_IHC-P_w_23061420_912.webp)
![IHC-P analysis of human liver tissue using GTX83722 RASD2 antibody [1G1]. IHC-P analysis of human liver tissue using GTX83722 RASD2 antibody [1G1].](https://www.genetex.com/upload/website/prouct_img/normal/GTX83722/GTX83722_1763_IHC-P_w_23061420_909.webp)
![IHC-P analysis of human lymph node tissue using GTX83722 RASD2 antibody [1G1]. IHC-P analysis of human lymph node tissue using GTX83722 RASD2 antibody [1G1].](https://www.genetex.com/upload/website/prouct_img/normal/GTX83722/GTX83722_1764_IHC-P_w_23061420_279.webp)
![IHC-P analysis of human pancreas tissue using GTX83722 RASD2 antibody [1G1]. IHC-P analysis of human pancreas tissue using GTX83722 RASD2 antibody [1G1].](https://www.genetex.com/upload/website/prouct_img/normal/GTX83722/GTX83722_1765_IHC-P_w_23061420_445.webp)
![WB analysis of HEK293T cells transfected with RASD2 plasmid (Right) or empty vector (Left) for 48 hrs using GTX83722 RASD2 antibody [1G1]. Loading : 5 ug per lane WB analysis of HEK293T cells transfected with RASD2 plasmid (Right) or empty vector (Left) for 48 hrs using GTX83722 RASD2 antibody [1G1]. Loading : 5 ug per lane](https://www.genetex.com/upload/website/prouct_img/normal/GTX83722/GTX83722_3847_WB_w_23061420_310.webp)
![FACS analysis of HeLa cells using GTX83723 RASD2 antibody [1D11]. Red : Primary antibody Blue : Negative control antibody](https://www.genetex.com/upload/website/prouct_img/normal/GTX83723/GTX83723_148_FACS_w_23061420_796.webp)
![FACS analysis of HEK293T cells transfected with either RASD2 plasmid(Red) or empty vector control plasmid(Blue) using GTX83724 RASD2 antibody [1A12].](https://www.genetex.com/upload/website/prouct_img/normal/GTX83724/GTX83724_150_FACS_w_23061420_561.webp)






