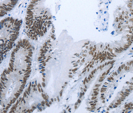
Immunohistochemistry of paraffin-embedded Human colon cancer tissue using RBMS1 Polyclonal Antibody at dilution 1:30
RBMS1 Polyclonal Antibody
E-AB-15836
Product group Antibodies
Overview
- SupplierElabscience
- Product NameRBMS1 Polyclonal Antibody
- Delivery Days Customer12
- Applications SupplierELISA IHC
- CertificationResearch Use Only
- Concentration0.3mg/ml
- Scientific Descriptionhis gene encodes a member of a small family of proteins which bind single stranded DNA/RNA. These proteins are characterized by the presence of two sets of ribonucleoprotein consensus sequence (RNP-CS) that contain conserved motifs, RNP1 and RNP2, originally described in RNA binding proteins, and required for DNA binding. These proteins have been implicated in such diverse functions as DNA replication, gene transcription, cell cycle progression and apoptosis. Several transcript variants, resulting from alternative splicing and encoding different isoforms, have been described. A pseudogene for this locus is found on chromosome 12.
- UNSPSC12352203





