
Sample (30 ug of whole cell lysate) A: U87-MG 12% SDS PAGE GTX113349 diluted at 1:1000
RGS2 antibody [N1C3-3]
GTX113349
ApplicationsImmunoPrecipitation, Western Blot
Product group Antibodies
ReactivityHuman, Mouse
TargetRGS2
Overview
- SupplierGeneTex
- Product NameRGS2 antibody [N1C3-3]
- Delivery Days Customer9
- Application Supplier NoteWB: 1:500-1:3000. IP: 1:100-1:500. *Optimal dilutions/concentrations should be determined by the researcher.Not tested in other applications.
- ApplicationsImmunoPrecipitation, Western Blot
- CertificationResearch Use Only
- ClonalityPolyclonal
- Concentration1 mg/ml
- ConjugateUnconjugated
- Gene ID5997
- Target nameRGS2
- Target descriptionregulator of G protein signaling 2
- Target synonymsG0S8, regulator of G-protein signaling 2, G0 to G1 switch regulatory 8, 24kD, G0/G1 switch regulatory protein 8, cell growth-inhibiting gene 31 protein, cell growth-inhibiting protein 31, regulator of G-protein signaling 2, 24kDa
- HostRabbit
- IsotypeIgG
- Protein IDP41220
- Protein NameRegulator of G-protein signaling 2
- Scientific DescriptionRegulator of G protein signaling (RGS) family members are regulatory molecules that act as GTPase activating proteins (GAPs) for G alpha subunits of heterotrimeric G proteins. RGS proteins are able to deactivate G protein subunits of the Gi alpha, Go alpha and Gq alpha subtypes. They drive G proteins into their inactive GDP-bound forms. Regulator of G protein signaling 2 belongs to this family. The protein acts as a mediator of myeloid differentiation and may play a role in leukemogenesis. [provided by RefSeq]
- ReactivityHuman, Mouse
- Storage Instruction-20°C or -80°C,2°C to 8°C
- UNSPSC41116161
![Immunoprecipitation of RGS2 protein from U87-MG whole cell extracts using 5 μg of RGS2 antibody [N1C3-3] (GTX113349). Western blot analysis was performed using RGS2 antibody [N1C3-3] (GTX113349) diluted at 1:500. EasyBlot anti-Rabbit IgG (GTX221666-01) was used as a secondary reagent. Immunoprecipitation of RGS2 protein from U87-MG whole cell extracts using 5 μg of RGS2 antibody [N1C3-3] (GTX113349). Western blot analysis was performed using RGS2 antibody [N1C3-3] (GTX113349) diluted at 1:500. EasyBlot anti-Rabbit IgG (GTX221666-01) was used as a secondary reagent.](https://www.genetex.com/upload/website/prouct_img/normal/GTX113349/GTX113349_40471_IP_w_23060501_284.webp)
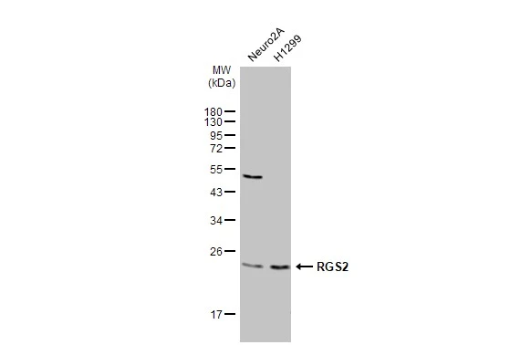
![Various whole cell extracts (30 μg) were separated by 12% SDS-PAGE, and the membrane was blotted with RGS2 antibody [N1C3-3] (GTX113349) diluted at 1:1000. The HRP-conjugated anti-rabbit IgG antibody (GTX213110-01) was used to detect the primary antibody. Various whole cell extracts (30 μg) were separated by 12% SDS-PAGE, and the membrane was blotted with RGS2 antibody [N1C3-3] (GTX113349) diluted at 1:1000. The HRP-conjugated anti-rabbit IgG antibody (GTX213110-01) was used to detect the primary antibody.](https://www.genetex.com/upload/website/prouct_img/normal/GTX113349/GTX113349_40471_20230707_WB_M_H_23071223_144.webp)




![RGS2 antibody [HL2987] detects RGS2 protein by immunohistochemical analysis. Sample: Paraffin-embedded mouse ovary. RGS2 stained by RGS2 antibody [HL2987] (GTX640397) diluted at 1:100. Antigen Retrieval: Citrate buffer, pH 6.0, 15 min](https://www.genetex.com/upload/website/prouct_img/normal/GTX640397/GTX640397_T-45418_20240718_IHC-P_M_24072519_746.webp)
![Whole tissue extract (50 μg) was separated by 12% SDS-PAGE, and the membrane was blotted with RGS2 antibody [HL2988] (GTX640398) diluted at 1:1000. The HRP-conjugated anti-rabbit IgG antibody (GTX213110-01) was used to detect the primary antibody, and the signal was developed with Trident ECL plus-Enhanced.](https://www.genetex.com/upload/website/prouct_img/normal/GTX640398/GTX640398_T-45418_20240531_WB_M_bladder_24060619_958.webp)


