
RPSA antibody detects RPSA protein by Western blot analysis. Whole cell extracts (30 μg) was separated by 10 % SDS-PAGE, and blotted with RPSA antibody (GTX100831) diluted by 1:1000
RPSA antibody [N1C3]
GTX100831
ApplicationsWestern Blot, ImmunoHistoChemistry, ImmunoHistoChemistry Paraffin
Product group Antibodies
ReactivityHuman, Mouse
TargetRPSA
Overview
- SupplierGeneTex
- Product NameRPSA antibody [N1C3]
- Delivery Days Customer9
- Application Supplier NoteWB: 1:500-1:3000. IHC-P: 1:100-1:1000. *Optimal dilutions/concentrations should be determined by the researcher.Not tested in other applications.
- ApplicationsWestern Blot, ImmunoHistoChemistry, ImmunoHistoChemistry Paraffin
- CertificationResearch Use Only
- ClonalityPolyclonal
- Concentration0.1 mg/ml
- ConjugateUnconjugated
- Gene ID3921
- Target nameRPSA
- Target descriptionribosomal protein SA
- Target synonyms37LRP, 67LR, ICAS, LAMBR, LAMR1, LBP, LBP/p40, LRP, LRP/LR, NEM/1CHD4, SA, lamR, p40, uS2, small ribosomal subunit protein uS2, 37 kDa laminin receptor, 37/67 kDa laminin receptor, 40S ribosomal protein SA, 67 kDa laminin receptor, colon carcinoma laminin-binding protein, laminin receptor 1 (67kD, ribosomal protein SA), laminin-binding protein precursor p40, multidrug resistance-associated protein MGr1-Ag
- HostRabbit
- IsotypeIgG
- Protein IDP08865
- Protein NameSmall ribosomal subunit protein uS2
- Scientific DescriptionLaminins, a family of extracellular matrix glycoproteins, are the major noncollagenous constituent of basement membranes. They have been implicated in a wide variety of biological processes including cell adhesion, differentiation, migration, signaling, neurite outgrowth and metastasis. Many of the effects of laminin are mediated through interactions with cell surface receptors. These receptors include members of the integrin family, as well as non-integrin laminin-binding proteins. This gene encodes a high-affinity, non-integrin family, laminin receptor 1. This receptor has been variously called 67 kD laminin receptor, 37 kD laminin receptor precursor (37LRP) and p40 ribosome-associated protein. The amino acid sequence of laminin receptor 1 is highly conserved through evolution, suggesting a key biological function. It has been observed that the level of the laminin receptor transcript is higher in colon carcinoma tissue and lung cancer cell line than their normal counterparts. Also, there is a correlation between the upregulation of this polypeptide in cancer cells and their invasive and metastatic phenotype. Multiple copies of this gene exist, however, most of them are pseudogenes thought to have arisen from retropositional events. Two alternatively spliced transcript variants encoding the same protein have been found for this gene. [provided by RefSeq]
- ReactivityHuman, Mouse
- Storage Instruction-20°C or -80°C,2°C to 8°C
- UNSPSC41116161
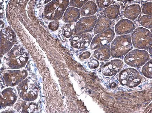
![RPSA antibody [N1C3] detects RPSA protein at cytoplasm on mouse small intestine by immunohistochemical analysis. Sample: Paraffin-embedded mouse small intestine. RPSA antibody [N1C3] (GTX100831) diluted at 1:500.
Antigen Retrieval: Trilogy? (EDTA based, pH 8.0) buffer, 15min RPSA antibody [N1C3] detects RPSA protein at cytoplasm on mouse small intestine by immunohistochemical analysis. Sample: Paraffin-embedded mouse small intestine. RPSA antibody [N1C3] (GTX100831) diluted at 1:500.
Antigen Retrieval: Trilogy? (EDTA based, pH 8.0) buffer, 15min](https://www.genetex.com/upload/website/prouct_img/normal/GTX100831/GTX100831_40058_20150226_IHC_M_w_23060100_721.webp)




![Various whole cell extracts (30 μg) were separated by 12% SDS-PAGE, and the membrane was blotted with RPSA antibody [N1C3] (GTX100831) diluted at 1:1000. Various whole cell extracts (30 μg) were separated by 12% SDS-PAGE, and the membrane was blotted with RPSA antibody [N1C3] (GTX100831) diluted at 1:1000.](https://www.genetex.com/upload/website/prouct_img/normal/GTX100831/GTX100831_42725_20170216_WB_w_23060100_559.webp)



![Immunohistochemical analysis of paraffin-embedded zebrafish tissue, using RPSA antibody [N2C3] (GTX113485) at 1:300 dilution.](https://www.genetex.com/upload/website/prouct_img/normal/GTX113485/GTX113485_40128_IHC_Z_22111423_147.webp)


