
Lane 1: Large intestine lysates probed with RSRC2 Polyclonal Antibody, Unconjugated (bs-6097R) at 1:1000 dilution and 4˚C overnight incubation. Followed by conjugated secondary antibody incubation at 1:20000 for 60 min at 37˚C.
RSRC2 Polyclonal Antibody
BS-6097R
ApplicationsImmunoFluorescence, Western Blot, ELISA, ImmunoCytoChemistry, ImmunoHistoChemistry, ImmunoHistoChemistry Frozen, ImmunoHistoChemistry Paraffin
Product group Antibodies
ReactivityBovine, Canine, Chicken, Equine, Human, Mouse, Porcine, Rat
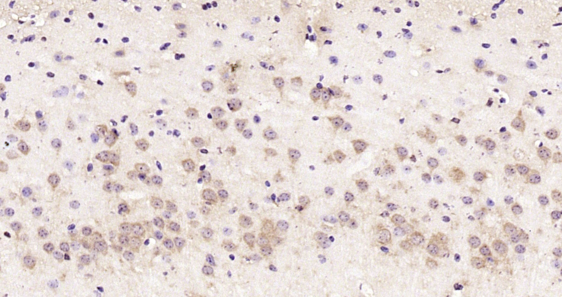
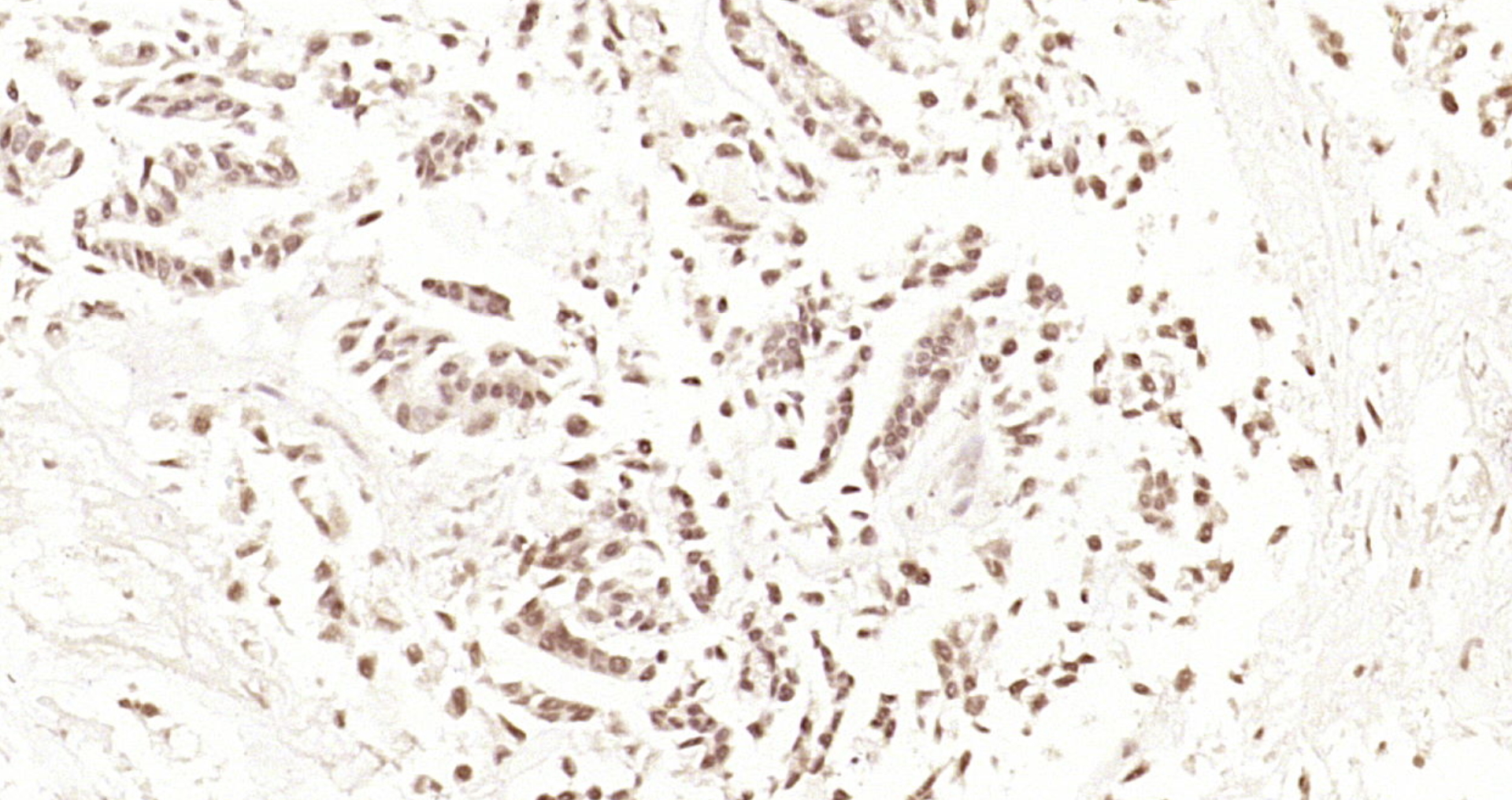
TargetRSRC2
Overview
- SupplierBioss
- Product NameRSRC2 Polyclonal Antibody
- Delivery Days Customer16
- ApplicationsImmunoFluorescence, Western Blot, ELISA, ImmunoCytoChemistry, ImmunoHistoChemistry, ImmunoHistoChemistry Frozen, ImmunoHistoChemistry Paraffin
- Applications SupplierWB(1:300-5000), ELISA(1:500-1000), IHC-P(1:200-400), IHC-F(1:100-500), IF(IHC-P)(1:50-200), IF(IHC-F)(1:50-200), IF(ICC)(1:50-200)
- CertificationResearch Use Only
- ClonalityPolyclonal
- Concentration1 ug/ul
- ConjugateUnconjugated
- Gene ID65117
- Target nameRSRC2
- Target descriptionarginine and serine rich coiled-coil 2
- Target synonymsarginine/serine-rich coiled-coil protein 2, arginine/serine-rich coiled-coil 2
- HostRabbit
- IsotypeIgG
- ReactivityBovine, Canine, Chicken, Equine, Human, Mouse, Porcine, Rat
- Storage Instruction-20°C
- UNSPSC41116161






