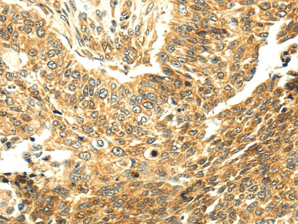
Immunohistochemistry of paraffin-embedded Human lung cancer tissue using SERPINA12 Polyclonal Antibody at dilution 1:40
SERPINA12 Polyclonal Antibody
E-AB-17025
Product group Antibodies
Overview
- SupplierElabscience
- Product NameSERPINA12 Polyclonal Antibody
- Delivery Days Customer12
- CertificationResearch Use Only
- Scientific DescriptionAdipokine that modulates insulin action by specifically inhibiting its target protease KLK7 in white adipose tissues.
- UNSPSC12352203







