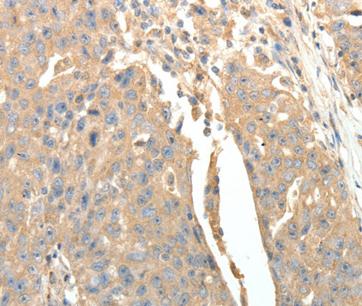
Immunohistochemistry of paraffin-embedded Human ovarian cancer tissue using SFTPD Polyclonal Antibody at dilution 1:30
SFTPD Polyclonal Antibody
E-AB-14367
Product group Antibodies
Overview
- SupplierElabscience
- Product NameSFTPD Polyclonal Antibody
- Delivery Days Customer12
- Applications SupplierELISA IHC
- CertificationResearch Use Only
- Concentration0.3mg/ml
- Scientific DescriptionSurfactant, pulmonary-associated protein D, also known asSFTPDorSP-D, is aproteinwhich in humans is encoded by theSFTPDgene. SFTPD is an innate immune system collectin. Surfactant protein D has been shown to interact with DMBT1. Contributes to the lungs defense against inhaled microorganisms. May participate in the extracellular reorganization or turnover of pulmonary surfactant. Binds strongly maltose residues and to a lesser extent other alpha-glucosyl moieties.
- UNSPSC12352203







