Western Blot analysis of Mouse liver tissue and hepg2 cell using SLC25A13 Polyclonal Antibody at dilution of 1:450
SLC25A13 Polyclonal Antibody
E-AB-15390
Product group Antibodies
Overview
- SupplierElabscience
- Product NameSLC25A13 Polyclonal Antibody
- Delivery Days Customer12
- Applications SupplierELISA WB IHC
- CertificationResearch Use Only
- Concentration0.5mg/ml
- Scientific DescriptionThis gene is a member of the mitochondrial carrier family. The encoded protein contains four EF-hand Ca(2+) binding motifs in the N-terminal domain, and localizes to mitochondria. The protein catalyzes the exchange of aspartate for glutamate and a proton across the inner mitochondrial membrane, and is stimulated by calcium on the external side of the inner mitochondrial membrane. Mutations in this gene result in citrullinemia, type II. Multiple transcript variants encoding different isoforms have been found for this gene.
- UNSPSC12352203





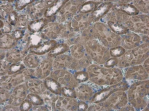
![SLC25A13 antibody [N3C2], Internal detects SLC25A13 protein at cytoplasm in mouse kidney by immunohistochemical analysis. Sample: Paraffin-embedded mouse kidney. SLC25A13 antibody [N3C2], Internal (GTX109001) diluted at 1:500.
Antigen Retrieval: Citrate buffer, pH 6.0, 15 min](https://www.genetex.com/upload/website/prouct_img/normal/GTX109001/GTX109001_42691_20170426_IHC-P_M_w_23060120_384.webp)
