
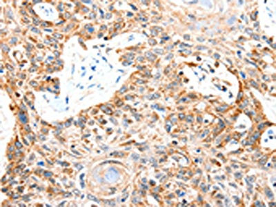
The image on the left is immunohistochemistry of paraffin-embedded Human lung cancer tissue using CSB-PA630217(SLC2A1 Antibody) at dilution 1/50, on the right is treated with synthetic peptide. (Original magnification: x200)
SLC2A1 Antibody
CSB-PA630217
ApplicationsWestern Blot, ELISA, ImmunoHistoChemistry
Product group Antibodies
ReactivityHuman, Mouse, Rat
TargetSLC2A1
Overview
- SupplierCusabio
- Product NameSLC2A1 Antibody
- Delivery Days Customer20
- ApplicationsWestern Blot, ELISA, ImmunoHistoChemistry
- CertificationResearch Use Only
- ClonalityPolyclonal
- ConjugateUnconjugated
- Gene ID6513
- Target nameSLC2A1
- Target descriptionsolute carrier family 2 member 1
- Target synonymsCSE, DYT17, DYT18, DYT9, EIG12, GLUT, GLUT-1, GLUT1, GLUT1DS, HTLVR, PED, SDCHCN, solute carrier family 2, facilitated glucose transporter member 1, choreoathetosis/spasticity, episodic (paroxysmal choreoathetosis/spasticity), dystonia gene 18, dystonia gene 9, glucose transporter type 1, erythrocyte/brain, hepG2 glucose transporter, human T-cell leukemia virus (I and II) receptor, receptor for HTLV-1 and HTLV-2, solute carrier family 2 (facilitated glucose transporter), member 1
- HostRabbit
- IsotypeIgG
- Protein IDP11166
- Protein NameSolute carrier family 2, facilitated glucose transporter member 1
- Scientific DescriptionThis gene encodes a major glucose transporter in the mammalian blood-brain barrier. Mutations in this gene have been found in a family with paroxysmal exertion-induced dyskinesia. Facilitative glucose transporter. This isoform may be responsible for constitutive or basal glucose uptake. Has a very broad substrate specificity; can transport a wide range of aldoses including both pentoses and hexoses.
- ReactivityHuman, Mouse, Rat
- Storage Instruction-20°C or -80°C
- UNSPSC41116161







