![Various whole cell extracts (30 μg) were separated by 5% SDS-PAGE, and the membranes were blotted with SMARCA2 antibody [HL1114] (GTX636329) diluted at 1:2000 and competitor's antibody (Competitor) diluted at 1:100. The HRP-conjugated anti-rabbit IgG antibody (GTX213110-01) was used to detect the primary antibody. *The competitor is not affiliated with GeneTex and does not endorse this product. Various whole cell extracts (30 μg) were separated by 5% SDS-PAGE, and the membranes were blotted with SMARCA2 antibody [HL1114] (GTX636329) diluted at 1:2000 and competitor's antibody (Competitor) diluted at 1:100. The HRP-conjugated anti-rabbit IgG antibody (GTX213110-01) was used to detect the primary antibody. *The competitor is not affiliated with GeneTex and does not endorse this product.](https://www.genetex.com/upload/website/prouct_img/normal/GTX636329/GTX636329_44438_20220812_WB_competitor_watermark_22081423_916.webp)
Various whole cell extracts (30 μg) were separated by 5% SDS-PAGE, and the membranes were blotted with SMARCA2 antibody [HL1114] (GTX636329) diluted at 1:2000 and competitor's antibody (Competitor) diluted at 1:100. The HRP-conjugated anti-rabbit IgG antibody (GTX213110-01) was used to detect the primary antibody. *The competitor is not affiliated with GeneTex and does not endorse this product.
SMARCA2 antibody [HL1114]
GTX636329
ApplicationsImmunoFluorescence, Western Blot, ImmunoCytoChemistry, ImmunoHistoChemistry, ImmunoHistoChemistry Paraffin
Product group Antibodies
ReactivityHuman, Mouse, Rat
TargetSMARCA2
Overview
- SupplierGeneTex
- Product NameSMARCA2 antibody [HL1114]
- Delivery Days Customer9
- Application Supplier NoteWB: 1:500-1:3000. *Optimal dilutions/concentrations should be determined by the researcher.Not tested in other applications.
- ApplicationsImmunoFluorescence, Western Blot, ImmunoCytoChemistry, ImmunoHistoChemistry, ImmunoHistoChemistry Paraffin
- CertificationResearch Use Only
- ClonalityMonoclonal
- Clone IDHL1114
- Concentration1 mg/ml
- ConjugateUnconjugated
- Gene ID6595
- Target nameSMARCA2
- Target descriptionSWI/SNF related BAF chromatin remodeling complex subunit ATPase 2
- Target synonymsBAF190, BIS, BRM, NCBRS, SAMRCA2, SNF2, SNF2L2, SNF2LA, SWI2, Sth1p, hBRM, hSNF2a, SWI/SNF-related matrix-associated actin-dependent regulator of chromatin subfamily A member 2, ATP-dependent helicase SMARCA2, BAF190B, BRG1-associated factor 190B, SNF2-alpha, SNF2/SWI2-like protein 2, SWI/SNF related, matrix associated, actin dependent regulator of chromatin, subfamily a, member 2, SWI/SNF-related matrix-associated actin-dependent regulator of chromatin a2, brahma homolog, global transcription activator homologous sequence, probable global transcription activator SNF2L2, protein brahma homolog, putative global transcription activator SNF2L2, sucrose nonfermenting 2-like protein 2
- HostRabbit
- IsotypeIgG
- Protein IDP51531
- Protein NameSWI/SNF-related matrix-associated actin-dependent regulator of chromatin subfamily A member 2
- Scientific DescriptionThe protein encoded by this gene is a member of the SWI/SNF family of proteins and is highly similar to the brahma protein of Drosophila. Members of this family have helicase and ATPase activities and are thought to regulate transcription of certain genes by altering the chromatin structure around those genes. The encoded protein is part of the large ATP-dependent chromatin remodeling complex SNF/SWI, which is required for transcriptional activation of genes normally repressed by chromatin. Alternatively spliced transcript variants encoding different isoforms have been found for this gene, which contains a trinucleotide repeat (CAG) length polymorphism. [provided by RefSeq, Jan 2014]
- ReactivityHuman, Mouse, Rat
- Storage Instruction-20°C or -80°C,2°C to 8°C
- UNSPSC41116161
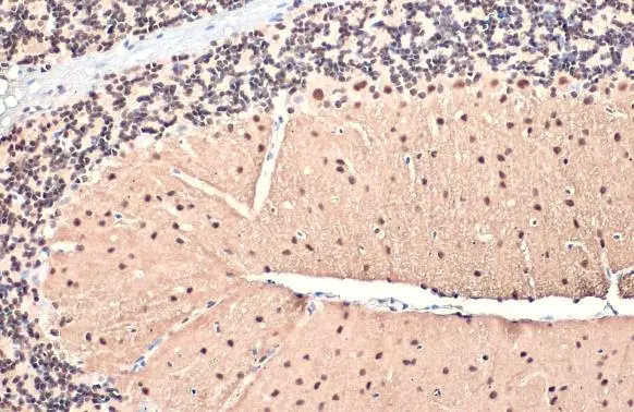
![SMARCA2 antibody [HL1114] detects SMARCA2 protein at nucleus by immunohistochemical analysis. Sample: Paraffin-embedded rat brain. SMARCA2 stained by SMARCA2 antibody [HL1114] (GTX636329) diluted at 1:100. Antigen Retrieval: Citrate buffer, pH 6.0, 15 min SMARCA2 antibody [HL1114] detects SMARCA2 protein at nucleus by immunohistochemical analysis. Sample: Paraffin-embedded rat brain. SMARCA2 stained by SMARCA2 antibody [HL1114] (GTX636329) diluted at 1:100. Antigen Retrieval: Citrate buffer, pH 6.0, 15 min](https://www.genetex.com/upload/website/prouct_img/normal/GTX636329/GTX636329_44438_20220304_IHC-P_R_w_23061202_477.webp)
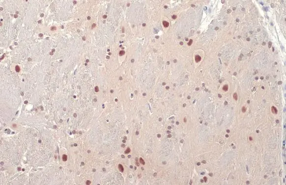
![SMARCA2 antibody [HL1114] detects SMARCA2 protein at nucleus by immunohistochemical analysis. Sample: Paraffin-embedded mouse brain. SMARCA2 stained by SMARCA2 antibody [HL1114] (GTX636329) diluted at 1:100. Antigen Retrieval: Citrate buffer, pH 6.0, 15 min SMARCA2 antibody [HL1114] detects SMARCA2 protein at nucleus by immunohistochemical analysis. Sample: Paraffin-embedded mouse brain. SMARCA2 stained by SMARCA2 antibody [HL1114] (GTX636329) diluted at 1:100. Antigen Retrieval: Citrate buffer, pH 6.0, 15 min](https://www.genetex.com/upload/website/prouct_img/normal/GTX636329/GTX636329_44438_20211022_IHC-P_M_w_23061202_525.webp)
![SMARCA2 antibody [HL1114] detects SMARCA2 protein at nucleus by immunofluorescent analysis. Sample: HeLa cells were fixed in 4% paraformaldehyde at RT for 15 min. Green: SMARCA2 stained by SMARCA2 antibody [HL1114] (GTX636329) diluted at 1:500. Red: alpha Tubulin, a cytoskeleton marker, stained by alpha Tubulin antibody [GT114] (GTX628802) diluted at 1:1000. SMARCA2 antibody [HL1114] detects SMARCA2 protein at nucleus by immunofluorescent analysis. Sample: HeLa cells were fixed in 4% paraformaldehyde at RT for 15 min. Green: SMARCA2 stained by SMARCA2 antibody [HL1114] (GTX636329) diluted at 1:500. Red: alpha Tubulin, a cytoskeleton marker, stained by alpha Tubulin antibody [GT114] (GTX628802) diluted at 1:1000.](https://www.genetex.com/upload/website/prouct_img/normal/GTX636329/GTX636329_44438_20211224_ICC_IF_w_23061202_377.webp)
![Various whole cell extracts (30 μg) were separated by 5% SDS-PAGE, and the membrane was blotted with SMARCA2 antibody [HL1114] (GTX636329) diluted at 1:1000. The HRP-conjugated anti-rabbit IgG antibody (GTX213110-01) was used to detect the primary antibody. Various whole cell extracts (30 μg) were separated by 5% SDS-PAGE, and the membrane was blotted with SMARCA2 antibody [HL1114] (GTX636329) diluted at 1:1000. The HRP-conjugated anti-rabbit IgG antibody (GTX213110-01) was used to detect the primary antibody.](https://www.genetex.com/upload/website/prouct_img/normal/GTX636329/GTX636329_45271_20231229_WB_25041720_592.webp)








