Western Blot analysis of A549 and lncap cell, Human seminoma tissue using SPATA20 Polyclonal Antibody at dilution of 1:1000
SPATA20 Polyclonal Antibody
E-AB-16072
Product group Antibodies
Overview
- SupplierElabscience
- Product NameSPATA20 Polyclonal Antibody
- Delivery Days Customer12
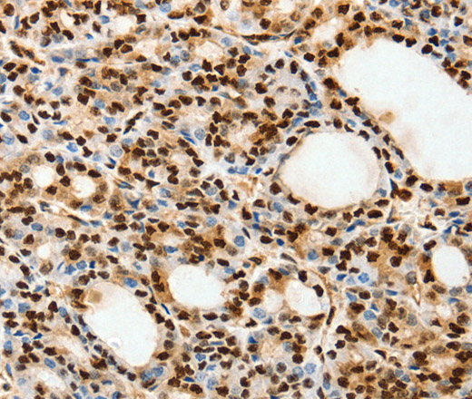
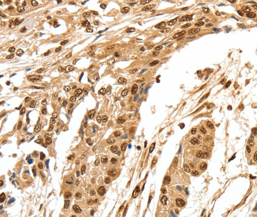
- Applications SupplierELISA WB IHC
- CertificationResearch Use Only
- Concentration0.9mg/ml
- Scientific DescriptionThe protein may play a role in fertility regulation. It were significantly upregulated in individual bile samples from Cholangiocarcinoma patients by Western blotting and Immunohistochemistry, relative to normal tissues.It acts as a potential serum diagnostic biomarker for Cholangiocarcinoma.
- UNSPSC12352203




