![Various whole cell extracts (30 μg) were separated by 5% SDS-PAGE, and the membrane was blotted with STAT2 antibody [C2C3], C-term (GTX103117) diluted at 1:2000. The HRP-conjugated anti-rabbit IgG antibody (GTX213110-01) was used to detect the primary antibody. Corresponding RNA expression data for the same cell lines are based on Human Protein Atlas program. Various whole cell extracts (30 μg) were separated by 5% SDS-PAGE, and the membrane was blotted with STAT2 antibody [C2C3], C-term (GTX103117) diluted at 1:2000. The HRP-conjugated anti-rabbit IgG antibody (GTX213110-01) was used to detect the primary antibody. Corresponding RNA expression data for the same cell lines are based on Human Protein Atlas program.](https://www.genetex.com/upload/website/prouct_img/normal/GTX103117/GTX103117_40688_20221104_WB_TPM_watermark_22110919_139.webp)
Various whole cell extracts (30 μg) were separated by 5% SDS-PAGE, and the membrane was blotted with STAT2 antibody [C2C3], C-term (GTX103117) diluted at 1:2000. The HRP-conjugated anti-rabbit IgG antibody (GTX213110-01) was used to detect the primary antibody. Corresponding RNA expression data for the same cell lines are based on Human Protein Atlas program.
STAT2 antibody [C2C3], C-term
GTX103117
ApplicationsImmunoPrecipitation, Western Blot, ImmunoHistoChemistry, ImmunoHistoChemistry Paraffin
Product group Antibodies
ReactivityHuman, Mouse
TargetSTAT2
Overview
- SupplierGeneTex
- Product NameSTAT2 antibody [C2C3], C-term
- Delivery Days Customer9
- Application Supplier NoteWB: 1:500-1:3000. IHC-P: 1:100-1:1000. IP: 1:100-1:500. *Optimal dilutions/concentrations should be determined by the researcher.Not tested in other applications.
- ApplicationsImmunoPrecipitation, Western Blot, ImmunoHistoChemistry, ImmunoHistoChemistry Paraffin
- CertificationResearch Use Only
- ClonalityPolyclonal
- Concentration1 mg/ml
- ConjugateUnconjugated
- Gene ID6773
- Target nameSTAT2
- Target descriptionsignal transducer and activator of transcription 2
- Target synonymsIMD44, ISGF-3, P113, PTORCH3, STAT113, signal transducer and activator of transcription 2, interferon alpha induced transcriptional activator, signal transducer and activator of transcription 2, 113kDa
- HostRabbit
- IsotypeIgG
- Protein IDP52630
- Protein NameSignal transducer and activator of transcription 2
- Scientific DescriptionThe protein encoded by this gene is a member of the STAT protein family. In response to cytokines and growth factors, STAT family members are phosphorylated by the receptor associated kinases, and then form homo- or heterodimers that translocate to the cell nucleus where they act as transcription activators. In response to interferon (IFN), this protein forms a complex with STAT1 and IFN regulatory factor family protein p48 (ISGF3G), in which this protein acts as a transactivator, but lacks the ability to bind DNA directly. Transcription adaptor P300/CBP (EP300/CREBBP) has been shown to interact specifically with this protein, which is thought to be involved in the process of blocking IFN-alpha response by adenovirus. [provided by RefSeq]
- ReactivityHuman, Mouse
- Storage Instruction-20°C or -80°C,2°C to 8°C
- UNSPSC41116161
![Whole cell extract (30 μg) was separated by 5% SDS-PAGE, and the membrane was blotted with STAT2 antibody [C2C3], C-term (GTX103117) diluted at 1:2000. The HRP-conjugated anti-rabbit IgG antibody (GTX213110-01) was used to detect the primary antibody. Whole cell extract (30 μg) was separated by 5% SDS-PAGE, and the membrane was blotted with STAT2 antibody [C2C3], C-term (GTX103117) diluted at 1:2000. The HRP-conjugated anti-rabbit IgG antibody (GTX213110-01) was used to detect the primary antibody.](https://www.genetex.com/upload/website/prouct_img/normal/GTX103117/GTX103117_40688_20230303_WB_23030717_763.webp)

![STAT2 antibody [C2C3], C-term detects STAT2 protein at cytoplasm in human endometrial carcinoma by immunohistochemical analysis. Sample: Paraffin-embedded human endometrial carcinoma. STAT2 antibody [C2C3], C-term (GTX103117) diluted at 1:500.
Antigen Retrieval: Citrate buffer, pH 6.0, 15 min STAT2 antibody [C2C3], C-term detects STAT2 protein at cytoplasm in human endometrial carcinoma by immunohistochemical analysis. Sample: Paraffin-embedded human endometrial carcinoma. STAT2 antibody [C2C3], C-term (GTX103117) diluted at 1:500.
Antigen Retrieval: Citrate buffer, pH 6.0, 15 min](https://www.genetex.com/upload/website/prouct_img/normal/GTX103117/GTX103117_40688_20150821_IHC-P_2_w_23060119_584.webp)
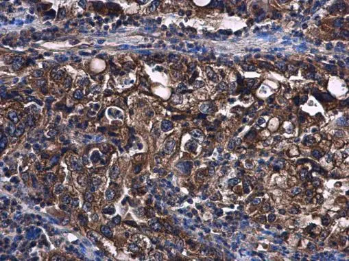
![STAT2 antibody [C2C3], C-term detects STAT2 protein at cytoplasm in human cervical carcinoma by immunohistochemical analysis. Sample: Paraffin-embedded human cervical carcinoma. STAT2 antibody [C2C3], C-term (GTX103117) diluted at 1:500.
Antigen Retrieval: Citrate buffer, pH 6.0, 15 min STAT2 antibody [C2C3], C-term detects STAT2 protein at cytoplasm in human cervical carcinoma by immunohistochemical analysis. Sample: Paraffin-embedded human cervical carcinoma. STAT2 antibody [C2C3], C-term (GTX103117) diluted at 1:500.
Antigen Retrieval: Citrate buffer, pH 6.0, 15 min](https://www.genetex.com/upload/website/prouct_img/normal/GTX103117/GTX103117_40688_20150821_IHC-P_w_23060119_855.webp)









