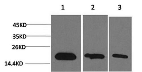
Western Blot analysis of 1) Hela, 2) 293T, 3) PC-12 cells with Survivin Monoclonal Antibody
Survivin Monoclonal Antibody
E-AB-22112
ApplicationsWestern Blot, ImmunoHistoChemistry, ImmunoHistoChemistry Paraffin
Product group Antibodies
TargetBIRC5
Overview
- SupplierElabscience
- Product NameSurvivin Monoclonal Antibody
- Delivery Days Customer12
- ApplicationsWestern Blot, ImmunoHistoChemistry, ImmunoHistoChemistry Paraffin
- CertificationResearch Use Only
- ClonalityMonoclonal
- Clone IDClone:4E2
- Concentration1 mg/ml
- ConjugateUnconjugated
- Gene ID332
- Target nameBIRC5
- Target descriptionbaculoviral IAP repeat containing 5
- Target synonymsAPI4, EPR-1, baculoviral IAP repeat-containing protein 5, apoptosis inhibitor 4, apoptosis inhibitor survivin
- HostMouse
- IsotypeIgG
- Protein IDO15392
- Protein NameBaculoviral IAP repeat-containing protein 5
- Scientific DescriptionThis gene is a member of the inhibitor of apoptosis (IAP) gene family, which encode negative regulatory proteins that prevent apoptotic cell death. IAP family members usually contain multiple baculovirus IAP repeat (BIR) domains, but this gene encodes proteins with only a single BIR domain. The encoded proteins also lack a C-terminus RING finger domain. Gene expression is high during fetal development and in most tumors, yet low in adult tissues. Alternatively spliced transcript variants encoding distinct isoforms have been found for this gene.
- Storage Instruction-20°C
- UNSPSC41116161








