
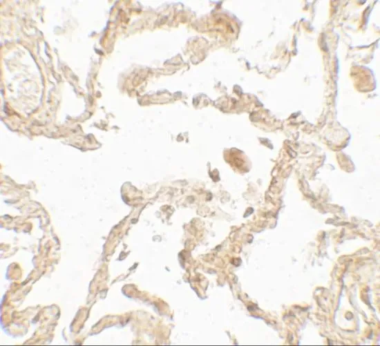
IHC-P analysis of human lung tissue using GTX31909 SUZ12 antibody. Working concentration : 5 μg/ml
SUZ12 antibody
GTX31909
ApplicationsWestern Blot, ELISA, ImmunoHistoChemistry, ImmunoHistoChemistry Paraffin
Product group Antibodies
ReactivityHuman
TargetSUZ12
Overview
- SupplierGeneTex
- Product NameSUZ12 antibody
- Delivery Days Customer9
- Application Supplier NoteWB: 1 - 2 microg/mL. IHC-P: 5 microg/mL. *Optimal dilutions/concentrations should be determined by the researcher.Not tested in other applications.
- ApplicationsWestern Blot, ELISA, ImmunoHistoChemistry, ImmunoHistoChemistry Paraffin
- CertificationResearch Use Only
- ClonalityPolyclonal
- Concentration1 mg/ml
- ConjugateUnconjugated
- Gene ID23512
- Target nameSUZ12
- Target descriptionSUZ12 polycomb repressive complex 2 subunit
- Target synonymsCHET9, IMMAS, JJAZ1, polycomb protein SUZ12, chET 9 protein, chromatin precipitated E2F target 9 protein, joined to JAZF1 protein, suppressor of zeste 12 protein homolog
- HostRabbit
- IsotypeIgG
- Protein IDQ15022
- Protein NamePolycomb protein SUZ12
- Scientific DescriptionThis zinc finger gene has been identified at the breakpoints of a recurrent chromosomal translocation reported in endometrial stromal sarcoma. Recombination of these breakpoints results in the fusion of this gene and JAZF1. The protein encoded by this gene contains a zinc finger domain in the C terminus of the coding region. [provided by RefSeq, Jul 2009]
- ReactivityHuman
- Storage Instruction-20°C or -80°C,2°C to 8°C
- UNSPSC12352203







![IHC-P analysis of kidney convoluted tubule tissue (left) and esophageal cancer tissue (right) using GTX60380 SUZ12 antibody [3D10].](https://www.genetex.com/upload/website/prouct_img/normal/GTX60380/GTX60380_20170912_IHC-P_w_23061123_837.webp)
