
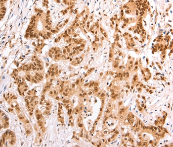
The image on the left is immunohistochemistry of paraffin-embedded Human colon cancer tissue using CSB-PA217735(TAX1BP1 Antibody) at dilution 1/40, on the right is treated with fusion protein. (Original magnification: x200)
TAX1BP1 Antibody
CSB-PA217735
ApplicationsELISA, ImmunoHistoChemistry
Product group Antibodies
ReactivityHuman, Mouse, Rat
TargetTAX1BP1
Overview
- SupplierCusabio
- Product NameTAX1BP1 Antibody
- Delivery Days Customer20
- ApplicationsELISA, ImmunoHistoChemistry
- CertificationResearch Use Only
- ClonalityPolyclonal
- ConjugateUnconjugated
- Gene ID8887
- Target nameTAX1BP1
- Target descriptionTax1 binding protein 1
- Target synonymsCALCOCO3, T6BP, TXBP151, tax1-binding protein 1, TRAF6-binding protein, Tax1 (human T-cell leukemia virus type I) binding protein 1
- HostRabbit
- IsotypeIgG
- Protein IDQ86VP1
- Protein NameTax1-binding protein 1
- Scientific DescriptionThis gene encodes a HTLV-1 tax1 binding protein. The encoded protein interacts with TNFAIP3, and inhibits TNF-induced apoptosis by mediating the TNFAIP3 anti-apoptotic activity. Degradation of this protein by caspase-3-like family proteins is associated with apoptosis induced by TNF. This protein may also have a role in the inhibition of inflammatory signaling pathways. Alternatively spliced transcript variants encoding different isoforms have been found for this gene.[
- ReactivityHuman, Mouse, Rat
- Storage Instruction-20°C or -80°C
- UNSPSC41116161






