
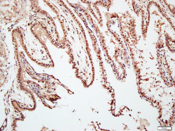
Paraformaldehyde-fixed, paraffin embedded rat heart; Antigen retrieval by boiling in sodium citrate buffer (pH6.0) for 15min; Block endogenous peroxidase by 3% hydrogen peroxide for 20 minutes; Blocking buffer (normal goat serum) at 37°C for 30min; Antibody incubation with TAZ Polyclonal Antibody, Unconjugated (bs-12367R) at 1:400 overnight at 4°C, followed by a conjugated secondary for 20 minutes and DAB staining.
TAZ Polyclonal Antibody
BS-12367R
ApplicationsFlow Cytometry, ImmunoFluorescence, Western Blot, ELISA, ImmunoCytoChemistry, ImmunoHistoChemistry, ImmunoHistoChemistry Frozen, ImmunoHistoChemistry Paraffin
Product group Antibodies
ReactivityHuman, Mouse, Rat
TargetWWTR1
Overview
- SupplierBioss
- Product NameTAZ Polyclonal Antibody
- Delivery Days Customer16
- ApplicationsFlow Cytometry, ImmunoFluorescence, Western Blot, ELISA, ImmunoCytoChemistry, ImmunoHistoChemistry, ImmunoHistoChemistry Frozen, ImmunoHistoChemistry Paraffin
- Applications SupplierWB(1:300-5000), ELISA(1:500-1000), FCM(1:20-100), IHC-P(1:200-400), IHC-F(1:100-500), IF(IHC-P)(1:50-200), IF(IHC-F)(1:50-200), IF(ICC)(1:50-200)
- CertificationResearch Use Only
- ClonalityPolyclonal
- Concentration1 ug/ul
- ConjugateUnconjugated
- Gene ID25937
- Target nameWWTR1
- Target descriptionWW domain containing transcription regulator 1
- Target synonymsTAZ, WW domain-containing transcription regulator protein 1, transcriptional co-activator with PDZ-binding motif
- HostRabbit
- IsotypeIgG
- Protein IDQ9GZV5
- Protein NameWW domain-containing transcription regulator protein 1
- ReactivityHuman, Mouse, Rat
- Storage Instruction-20°C
- UNSPSC41116161







