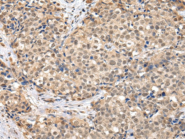
Immunohistochemistry of paraffin-embedded Human breast cancer using TBL1X Polyclonal Antibody at dilution of 1/30
TBL1X Polyclonal Antibody
E-AB-17052
Product group Antibodies
Overview
- SupplierElabscience
- Product NameTBL1X Polyclonal Antibody
- Delivery Days Customer12
- CertificationResearch Use Only
- Scientific DescriptionThe protein encoded by this gene has sequence similarity witHuman, Mouseembers of the WD40 repeat-containing protein family. The WD40 group is a large family of proteins, which appear to have a regulatory function. It is believed that the WD40 repeats mediate protein-protein interactions and members of the family are involved in signal transduction, RNA processing, gene regulation, vesicular trafficking, cytoskeletal assembly and may play a role in the control of cytotypic differentiation.
- UNSPSC12352203







