
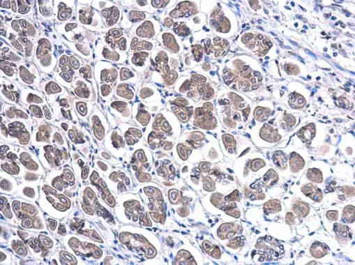
Immunohistochemical analysis of paraffin-embedded human gastric cancer, using Trefoil factor 1(GTX121461) antibody at 1:500 dilution.
Antigen Retrieval: Trilogy? (EDTA based, pH 8.0) buffer, 15min
TFF1 antibody
GTX121461
ApplicationsImmunoFluorescence, Western Blot, ImmunoCytoChemistry, ImmunoHistoChemistry, ImmunoHistoChemistry Paraffin
Product group Antibodies
ReactivityHuman, Mouse
TargetTFF1
Overview
- SupplierGeneTex
- Product NameTFF1 antibody
- Delivery Days Customer9
- Application Supplier NoteWB: 1:500-1:3000. ICC/IF: 1:100-1:1000. IHC-P: 1:100-1:1000. *Optimal dilutions/concentrations should be determined by the researcher.Not tested in other applications.
- ApplicationsImmunoFluorescence, Western Blot, ImmunoCytoChemistry, ImmunoHistoChemistry, ImmunoHistoChemistry Paraffin
- CertificationResearch Use Only
- ClonalityPolyclonal
- Concentration0.17 mg/ml
- ConjugateUnconjugated
- Gene ID7031
- Target nameTFF1
- Target descriptiontrefoil factor 1
- Target synonymsBCEI, D21S21, HP1.A, HPS2, pNR-2, pS2, trefoil factor 1, breast cancer estrogen-inducible protein, breast cancer estrogen-inducible sequence, gastrointestinal trefoil protein pS2, polypeptide P1.A, protein pS2
- HostRabbit
- IsotypeIgG
- Protein IDP04155
- Protein NameTrefoil factor 1
- Scientific DescriptionMembers of the trefoil family are characterized by having at least one copy of the trefoil motif, a 40-amino acid domain that contains three conserved disulfides. They are stable secretory proteins expressed in gastrointestinal mucosa. Their functions are not defined, but they may protect the mucosa from insults, stabilize the mucus layer, and affect healing of the epithelium. This gene, which is expressed in the gastric mucosa, has also been studied because of its expression in human tumors. This gene and two other related trefoil family member genes are found in a cluster on chromosome 21. [provided by RefSeq]
- ReactivityHuman, Mouse
- Storage Instruction-20°C or -80°C,2°C to 8°C
- UNSPSC41116161









