TFIIB antibody [N2C3]
GTX113723
ApplicationsWestern Blot
Product group Antibodies
ReactivityHuman
TargetGTF2B
Overview
- SupplierGeneTex
- Product NameTFIIB antibody [N2C3]
- Delivery Days Customer9
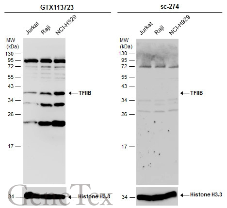
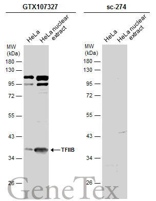
- Application Supplier NoteWB: 1:500-1:3000. *Optimal dilutions/concentrations should be determined by the researcher.Not tested in other applications.
- ApplicationsWestern Blot
- CertificationResearch Use Only
- ClonalityPolyclonal
- Concentration0.55 mg/ml
- ConjugateUnconjugated
- Gene ID2959
- Target nameGTF2B
- Target descriptiongeneral transcription factor IIB
- Target synonymsTF2B, TFIIB, transcription initiation factor IIB, RNA polymerase II transcription factor IIB, S300-II, general transcription factor TFIIB
- HostRabbit
- IsotypeIgG
- Protein IDQ00403
- Protein NameTranscription initiation factor IIB
- Scientific DescriptionThis gene encodes the general transcription factor IIB, one of the ubiquitous factors required for transcription initiation by RNA polymerase II. The protein localizes to the nucleus where it forms a complex (the DAB complex) with transcription factors IID and IIA. Transcription factor IIB serves as a bridge between IID, the factor which initially recognizes the promoter sequence, and RNA polymerase II. [provided by RefSeq]
- ReactivityHuman
- Storage Instruction-20°C or -80°C,2°C to 8°C
- UNSPSC12352203






