
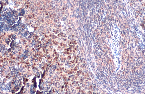
IHC-P analysis of human spleen tissue using GTX31244 TLR9 antibody.
TLR9 antibody
GTX31244
ApplicationsWestern Blot, ImmunoHistoChemistry, ImmunoHistoChemistry Paraffin
Product group Antibodies
ReactivityHuman, Mouse
TargetTLR9
Overview
- SupplierGeneTex
- Product NameTLR9 antibody
- Delivery Days Customer9
- Application Supplier NoteWB: 1/1,000. IHC-P: 1/250. *Optimal dilutions/concentrations should be determined by the researcher.Not tested in other applications.
- ApplicationsWestern Blot, ImmunoHistoChemistry, ImmunoHistoChemistry Paraffin
- CertificationResearch Use Only
- ClonalityPolyclonal
- Concentration1 mg/ml
- ConjugateUnconjugated
- Gene ID54106
- Target nameTLR9
- Target descriptiontoll like receptor 9
- Target synonymsCD289, toll-like receptor 9
- HostGoat
- IsotypeIgG
- Protein IDQ9NR96
- Protein NameToll-like receptor 9
- Scientific DescriptionThe protein encoded by this gene is a member of the Toll-like receptor (TLR) family, which plays a fundamental role in pathogen recognition and activation of innate immunity. TLRs are highly conserved from Drosophila to humans and share structural and functional similarities. They recognize pathogen-associated molecular patterns (PAMPs) that are expressed on infectious agents, and mediate the production of cytokines necessary for the development of effective immunity. Studies in mice and human indicate that this receptor mediates cellular response to unmethylated CpG dinucleotides in bacterial DNA to mount an innate immune response. [provided by RefSeq, Aug 2017]
- ReactivityHuman, Mouse
- Storage Instruction-20°C or -80°C,2°C to 8°C
- UNSPSC41116161








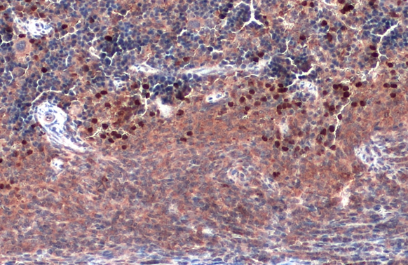
![TLR9 antibody [N2], N-term detects TLR9 protein by immunohistochemical analysis. Sample: Paraffin-embedded mouse spleen. TLR9 stained by TLR9 antibody [N2], N-term (GTX100726) diluted at 1:500. Antigen Retrieval: Citrate buffer, pH 6.0, 15 min](https://www.genetex.com/upload/website/prouct_img/normal/GTX100726/GTX100726_40016_20190412_IHC-P_M_w_23060100_421.webp)
