![Various whole cell extracts (30 μg) were separated by 15% SDS-PAGE, and the membrane was blotted with TOMM20 antibody [HL1493] (GTX636967) diluted at 1:1000. The HRP-conjugated anti-rabbit IgG antibody (GTX213110-01) was used to detect the primary antibody. Various whole cell extracts (30 μg) were separated by 15% SDS-PAGE, and the membrane was blotted with TOMM20 antibody [HL1493] (GTX636967) diluted at 1:1000. The HRP-conjugated anti-rabbit IgG antibody (GTX213110-01) was used to detect the primary antibody.](https://www.genetex.com/upload/website/prouct_img/normal/GTX636967/GTX636967_44718_20220624_WB_22070501_235.webp)
Various whole cell extracts (30 μg) were separated by 15% SDS-PAGE, and the membrane was blotted with TOMM20 antibody [HL1493] (GTX636967) diluted at 1:1000. The HRP-conjugated anti-rabbit IgG antibody (GTX213110-01) was used to detect the primary antibody.
TOMM20 antibody [HL1493]
GTX636967
ApplicationsImmunoFluorescence, Western Blot, ImmunoCytoChemistry, ImmunoHistoChemistry, ImmunoHistoChemistry Paraffin
Product group Antibodies
ReactivityHuman, Mouse, Rat
TargetTOMM20
Overview
- SupplierGeneTex
- Product NameTOMM20 antibody [HL1493]
- Delivery Days Customer9
- Application Supplier NoteWB: 1:500-1:3000. *Optimal dilutions/concentrations should be determined by the researcher.Not tested in other applications.
- ApplicationsImmunoFluorescence, Western Blot, ImmunoCytoChemistry, ImmunoHistoChemistry, ImmunoHistoChemistry Paraffin
- CertificationResearch Use Only
- ClonalityMonoclonal
- Clone IDHL1493
- Concentration1 mg/ml
- ConjugateUnconjugated
- Gene ID9804
- Target nameTOMM20
- Target descriptiontranslocase of outer mitochondrial membrane 20
- Target synonymsMAS20, MOM19, TOM20, mitochondrial import receptor subunit TOM20 homolog, mitochondrial 20 kDa outer membrane protein, outer mitochondrial membrane receptor Tom20, translocase of outer mitochondrial membrane 20 homolog type II
- HostRabbit
- IsotypeIgG
- Protein IDQ15388
- Protein NameMitochondrial import receptor subunit TOM20 homolog
- ReactivityHuman, Mouse, Rat
- Storage Instruction-20°C or -80°C,2°C to 8°C
- UNSPSC41116161
![Various whole cell extracts (30 μg) were separated by 15% SDS-PAGE, and the membranes were blotted with TOMM20 antibody [HL1493] (GTX636967) diluted at 1:1000 and competitor's antibody (Competitor) diluted at 1:1000. The HRP-conjugated anti-rabbit IgG antibody (GTX213110-01) was used to detect the primary antibody. *The competitor is not affiliated with GeneTex and does not endorse this product. Various whole cell extracts (30 μg) were separated by 15% SDS-PAGE, and the membranes were blotted with TOMM20 antibody [HL1493] (GTX636967) diluted at 1:1000 and competitor's antibody (Competitor) diluted at 1:1000. The HRP-conjugated anti-rabbit IgG antibody (GTX213110-01) was used to detect the primary antibody. *The competitor is not affiliated with GeneTex and does not endorse this product.](https://www.genetex.com/upload/website/prouct_img/normal/GTX636967/GTX636967_44718_20220812_WB_competitor_watermark_22081423_397.webp)
![TOMM20 antibody [HL1493] detects TOMM20 protein by immunohistochemical analysis. Sample: Paraffin-embedded mouse tissue. TOMM20 stained by TOMM20 antibody [HL1493] (GTX636967) diluted at 1:100. Antigen Retrieval: Citrate buffer, pH 6.0, 15 min TOMM20 antibody [HL1493] detects TOMM20 protein by immunohistochemical analysis. Sample: Paraffin-embedded mouse tissue. TOMM20 stained by TOMM20 antibody [HL1493] (GTX636967) diluted at 1:100. Antigen Retrieval: Citrate buffer, pH 6.0, 15 min](https://www.genetex.com/upload/website/prouct_img/normal/GTX636967/GTX636967_44718_20221228_IHC-P_multiple_M_22122901_599.webp)
![TOMM20 antibody [HL1493] detects TOMM20 protein by immunohistochemical analysis. Sample: Paraffin-embedded rat tissue. TOMM20 stained by TOMM20 antibody [HL1493] (GTX636967) diluted at 1:100. Antigen Retrieval: Citrate buffer, pH 6.0, 15 min TOMM20 antibody [HL1493] detects TOMM20 protein by immunohistochemical analysis. Sample: Paraffin-embedded rat tissue. TOMM20 stained by TOMM20 antibody [HL1493] (GTX636967) diluted at 1:100. Antigen Retrieval: Citrate buffer, pH 6.0, 15 min](https://www.genetex.com/upload/website/prouct_img/normal/GTX636967/GTX636967_44718_20221228_IHC-P_multiple_R_22122901_218.webp)
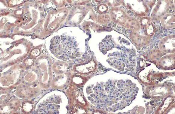
![TOMM20 antibody [HL1493] detects TOMM20 protein at cytoplasm by immunohistochemical analysis. Sample: Paraffin-embedded rat kidney. TOMM20 stained by TOMM20 antibody [HL1493] (GTX636967) diluted at 1:100. Antigen Retrieval: Citrate buffer, pH 6.0, 15 min TOMM20 antibody [HL1493] detects TOMM20 protein at cytoplasm by immunohistochemical analysis. Sample: Paraffin-embedded rat kidney. TOMM20 stained by TOMM20 antibody [HL1493] (GTX636967) diluted at 1:100. Antigen Retrieval: Citrate buffer, pH 6.0, 15 min](https://www.genetex.com/upload/website/prouct_img/normal/GTX636967/GTX636967_T-44669_20220527_IHC-P_R_w_23061202_937.webp)
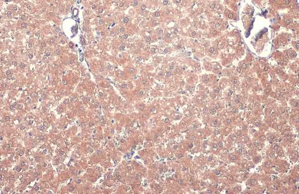
![TOMM20 antibody [HL1493] detects TOMM20 protein at mitochondria by immunohistochemical analysis. Sample: Paraffin-embedded rat liver. TOMM20 stained by TOMM20 antibody [HL1493] (GTX636967) diluted at 1:100. Antigen Retrieval: Citrate buffer, pH 6.0, 15 min TOMM20 antibody [HL1493] detects TOMM20 protein at mitochondria by immunohistochemical analysis. Sample: Paraffin-embedded rat liver. TOMM20 stained by TOMM20 antibody [HL1493] (GTX636967) diluted at 1:100. Antigen Retrieval: Citrate buffer, pH 6.0, 15 min](https://www.genetex.com/upload/website/prouct_img/normal/GTX636967/GTX636967_T-44669_20220527_IHC-P_R_1_w_23061202_746.webp)
![TOMM20 antibody [HL1493] detects TOMM20 protein at mitochondria by immunohistochemical analysis. Sample: Paraffin-embedded mouse kidney. TOMM20 stained by TOMM20 antibody [HL1493] (GTX636967) diluted at 1:100. Antigen Retrieval: Citrate buffer, pH 6.0, 15 min TOMM20 antibody [HL1493] detects TOMM20 protein at mitochondria by immunohistochemical analysis. Sample: Paraffin-embedded mouse kidney. TOMM20 stained by TOMM20 antibody [HL1493] (GTX636967) diluted at 1:100. Antigen Retrieval: Citrate buffer, pH 6.0, 15 min](https://www.genetex.com/upload/website/prouct_img/normal/GTX636967/GTX636967_T-44669_20220527_IHC-P_M_w_23061202_331.webp)
![TOMM20 antibody [HL1493] detects TOMM20 protein at mitochondria by immunofluorescent analysis. Sample: HeLa cells were fixed in 4% paraformaldehyde at RT for 15 min. Green: TOMM20 stained by TOMM20 antibody [HL1493] (GTX636967) diluted at 1:500. Red: alpha Tubulin, a cytoskeleton marker, stained by alpha Tubulin antibody [GT114] (GTX628802) diluted at 1:1000. Blue: Fluoroshield with DAPI (GTX30920). TOMM20 antibody [HL1493] detects TOMM20 protein at mitochondria by immunofluorescent analysis. Sample: HeLa cells were fixed in 4% paraformaldehyde at RT for 15 min. Green: TOMM20 stained by TOMM20 antibody [HL1493] (GTX636967) diluted at 1:500. Red: alpha Tubulin, a cytoskeleton marker, stained by alpha Tubulin antibody [GT114] (GTX628802) diluted at 1:1000. Blue: Fluoroshield with DAPI (GTX30920).](https://www.genetex.com/upload/website/prouct_img/normal/GTX636967/GTX636967_44718_20240301_ICC_IF_24030600_212.webp)





![Various whole cell extracts (30 μg) were separated by 15% SDS-PAGE, and the membrane was blotted with TOMM20 antibody [HL1494] (GTX636968) diluted at 1:1000. The HRP-conjugated anti-rabbit IgG antibody (GTX213110-01) was used to detect the primary antibody.](https://www.genetex.com/upload/website/prouct_img/normal/GTX636968/GTX636968_44718_20220624_WB_22070501_373.webp)
