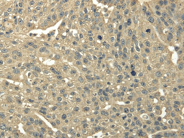
Immunohistochemistry of paraffin-embedded Human breast cancer using TRIB2 Polyclonal Antibody at dilution of 1/30
TRIB2 Polyclonal Antibody
E-AB-17148
Product group Antibodies
Overview
- SupplierElabscience
- Product NameTRIB2 Polyclonal Antibody
- Delivery Days Customer12
- CertificationResearch Use Only
- Scientific DescriptionThis gene encodes one of three members of the Tribbles family. The Tribbles members share a Trb domain, which is homologous to protein serine-threonine kinases, but lacks the active site lysine and probably lacks a catalytic function. The Tribbles proteins interact and modulate the activity of signal transduction pathways in a number of physiological and pathological processes.
- UNSPSC12352203


![IHC-P analysis of human breast adenocarcinoma tissue using GTX83495 TRIB2 antibody [8D11]. Antigen retrieval : Heat-induced epitope retrieval by 10mM citrate buffer, pH6.0, 100oC for 10min.](https://www.genetex.com/upload/website/prouct_img/normal/GTX83495/GTX83495_1468_IHC-P_w_23061419_908.webp)



