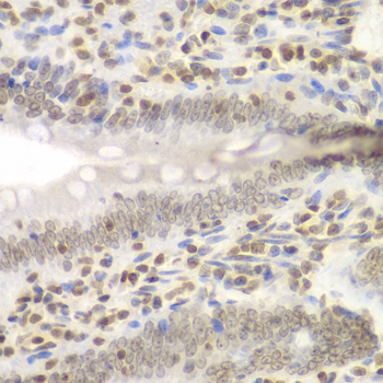
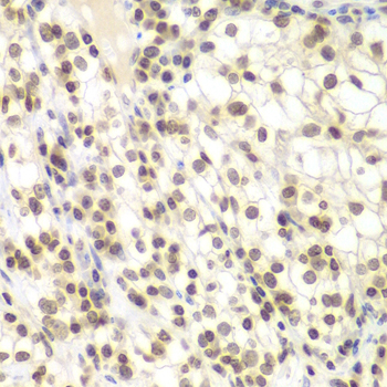
Immunohistochemistry of paraffin-embedded Rat Intestine using UHRF2 Polyclonal Antibody at dilution of 1:200 (40x lens).
UHRF2 Polyclonal Antibody
E-AB-64743
Product group Antibodies
Overview
- SupplierElabscience
- Product NameUHRF2 Polyclonal Antibody
- Delivery Days Customer12
- CertificationResearch Use Only
- Scientific DescriptionThis gene encodes a nuclear protein which is involved in cell-cycle regulation. The encoded protein is a ubiquitin-ligase capable of ubiquinating PCNP (PEST-containing nuclear protein), and together they may play a role in tumorigenesis. The encoded protein contains an NIRF_N domain, a PHD finger, a set- and ring-associated (SRA) domain, and a RING finger domain and several of these domains have been shown to be essential for the regulation of cell proliferation. This protein may also have a role in intranuclear degradation of polyglutamine aggregates. Alternative splicing results in multiple transcript variants some of which are non-protein coding.
- UNSPSC12352203





