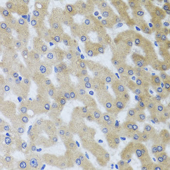
Immunohistochemistry of paraffin-embedded Human liver damage using UVRAG Polyclonal Antibody at dilution of 1:100 (40x lens).
UVRAG Polyclonal Antibody
E-AB-62260
Product group Antibodies
Overview
- SupplierElabscience
- Product NameUVRAG Polyclonal Antibody
- Delivery Days Customer12
- CertificationResearch Use Only
- Scientific DescriptionThis gene complements the ultraviolet sensitivity of xeroderma pigmentosum group C cells and encodes a protein with a C2 domain. The protein activates the Beclin1-PI(3)KC3 complex, promoting autophagy and suppressing the proliferation and tumorigenicity of human colon cancer cells. Chromosomal aberrations involving this gene are associated with left-right axis malformation and mutations in this gene have been associated with colon cancer.
- UNSPSC12352203



