
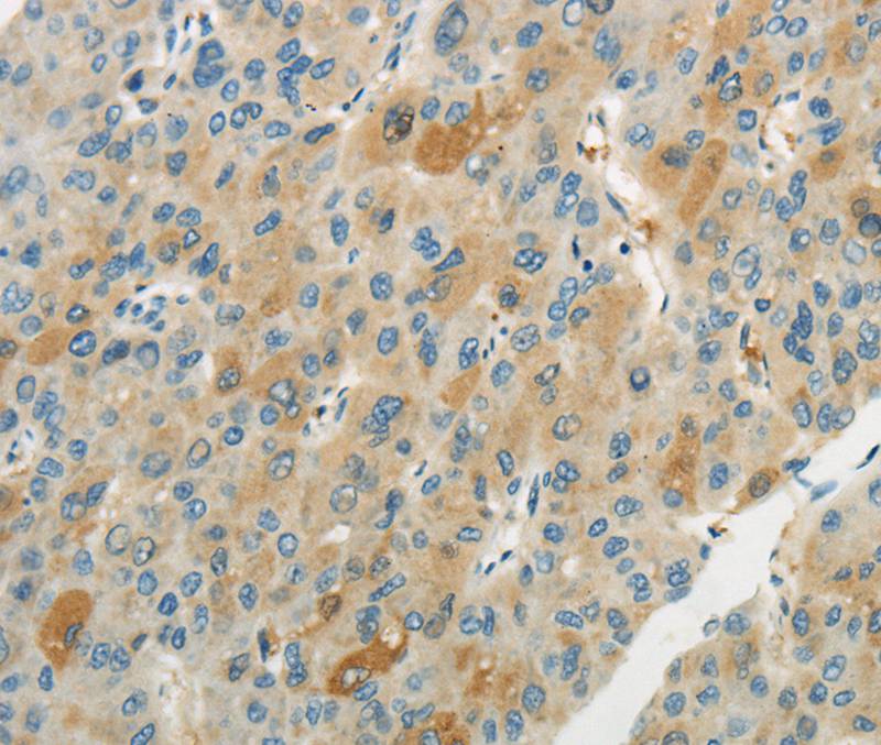
The image on the left is immunohistochemistry of paraffin-embedded Human liver cancer tissue using CSB-PA122866(WNT2B Antibody) at dilution 1/20, on the right is treated with synthetic peptide. (Original magnification: x200)
WNT2B Antibody
CSB-PA122866
ApplicationsELISA, ImmunoHistoChemistry
Product group Antibodies
ReactivityHuman, Mouse
TargetWNT2B
Overview
- SupplierCusabio
- Product NameWNT2B Antibody
- Delivery Days Customer20
- ApplicationsELISA, ImmunoHistoChemistry
- CertificationResearch Use Only
- ClonalityPolyclonal
- ConjugateUnconjugated
- Gene ID7482
- Target nameWNT2B
- Target descriptionWnt family member 2B
- Target synonymsWNT13, protein Wnt-2b, XWNT2, Xenopus, homolog of, wingless-type MMTV integration site family, member 13, wingless-type MMTV integration site family, member 2B
- HostRabbit
- IsotypeIgG
- Protein IDQ93097
- Protein NameProtein Wnt-2b
- Scientific DescriptionThis gene encodes a member of the wingless-type MMTV integration site (WNT) family of highly conserved, secreted signaling factors. WNT family members function in a variety of developmental processes including regulation of cell growth and differentiation and are characterized by a WNT-core domain. This gene may play a role in human development as well as carcinogenesis. Alternative splicing results in multiple transcript variants.
- ReactivityHuman, Mouse
- Storage Instruction-20°C or -80°C
- UNSPSC41116161






