ZC3HAV1 Polyclonal Antibody
RD219553A
ApplicationsELISA, ImmunoHistoChemistry
Product group Antibodies
ReactivityHuman
TargetZC3HAV1
Overview
- SupplierReddot Biotech
- Product NameZC3HAV1 Polyclonal Antibody
- Delivery Days Customer5
- ApplicationsELISA, ImmunoHistoChemistry
- CertificationResearch Use Only
- ClonalityPolyclonal
- Concentration1.6 mg/ml
- ConjugateUnconjugated
- Gene ID56829
- Target nameZC3HAV1
- Target descriptionzinc finger CCCH-type containing, antiviral 1
- Target synonymsARTD13, FLB6421, PARP13, ZAP, ZC3H2, ZC3HDC2, zinc finger CCCH-type antiviral protein 1, ADP-ribosyltransferase diphtheria toxin-like 13, inactive Poly [ADP-ribose] polymerase 13, zinc finger CCCH domain-containing protein 2, zinc finger CCCH-type, antiviral 1
- HostRabbit
- IsotypeIgG
- Protein IDQ7Z2W4
- Protein NameZinc finger CCCH-type antiviral protein 1
- Scientific Descriptionhe zinc-finger antiviral protein (ZAP) was originally identifed from a rat cDNA library due to its conferring resistance to retroviruses. ZC3HAV1 is a CCCH-type zinc finger protein,it may primarily function to inhibit viral gene expression and induce an innate immunity to viral infection. Alternative splicing occurs at this locus and two variants,each encoding distinct isoforms. - This is a ZC3HAV1 Polyclonal Antibody from Reddot Biotech. This product is for Research Use Only.
- ReactivityHuman
- Storage Instruction-20°C
- UNSPSC41116161



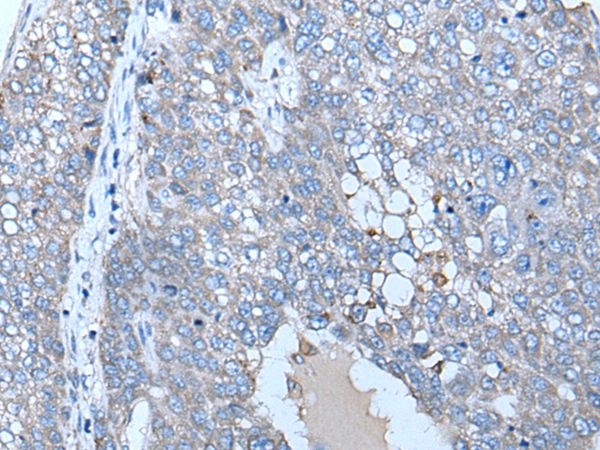
![ZC3HAV1 antibody [N3C2], Internal detects ZC3HAV1 protein at cytoplasm in human lung cancer by immunohistochemical analysis. Sample: Paraffin-embedded human lung cancer. ZC3HAV1 antibody [N3C2], Internal (GTX120134) diluted at 1:500.
Antigen Retrieval: Citrate buffer, pH 6.0, 15 min](https://www.genetex.com/upload/website/prouct_img/normal/GTX120134/GTX120134_42676_20170426_IHC-P_w_23060519_396.webp)