
Lane 1: HepG2 cell lysates probed with ZNF693 Polyclonal Antibody, Unconjugated (bs-5716R) at 1:1000 dilution and 4˚C overnight incubation. Followed by conjugated secondary antibody incubation at 1:20000 for 60 min at 37˚C.
ZNF693 Polyclonal Antibody
BS-5716R
ApplicationsImmunoFluorescence, Western Blot, ELISA, ImmunoCytoChemistry, ImmunoHistoChemistry, ImmunoHistoChemistry Frozen, ImmunoHistoChemistry Paraffin
Product group Antibodies
ReactivityHuman, Mouse, Rat
TargetCASZ1
Overview
- SupplierBioss
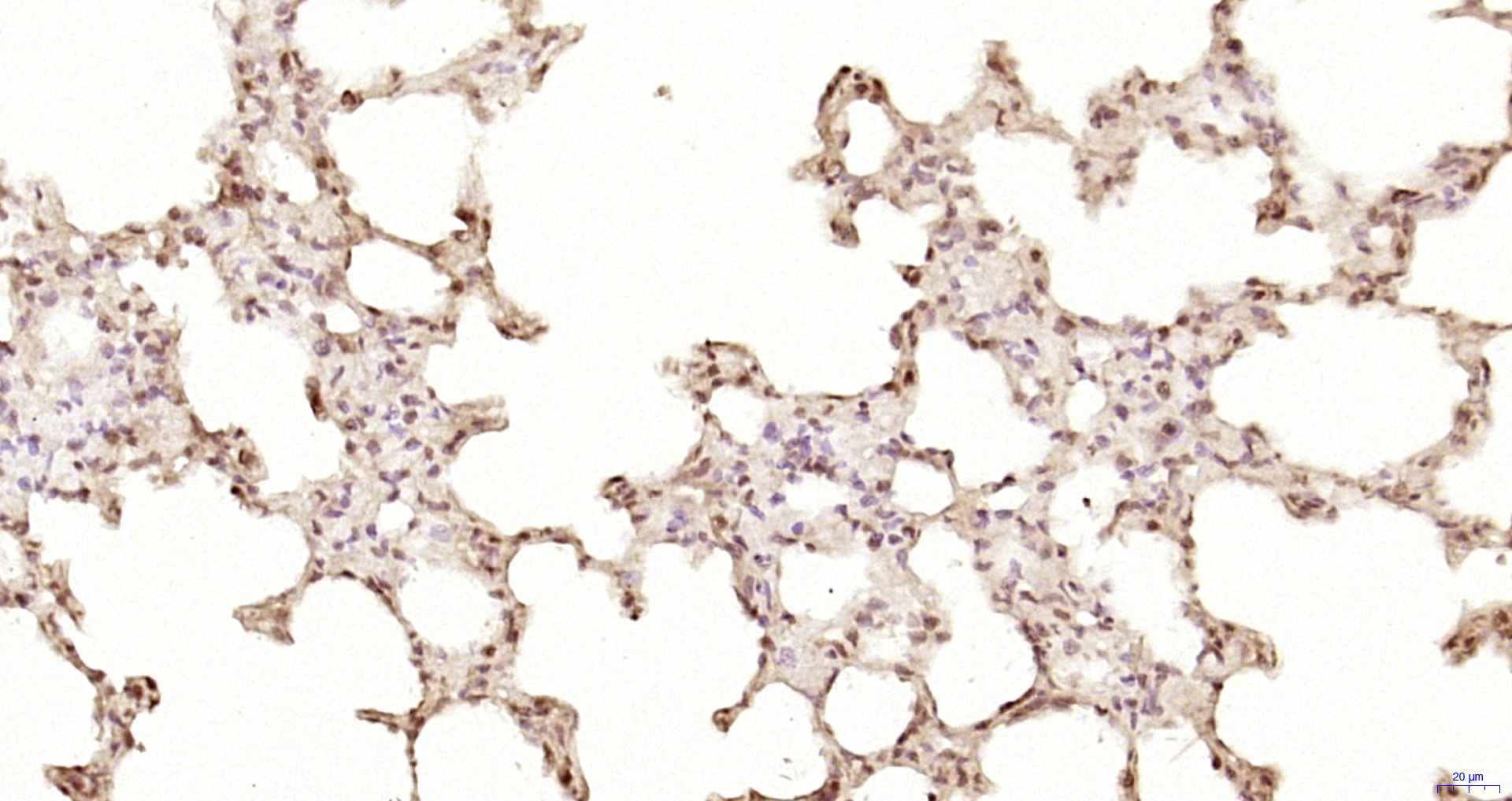
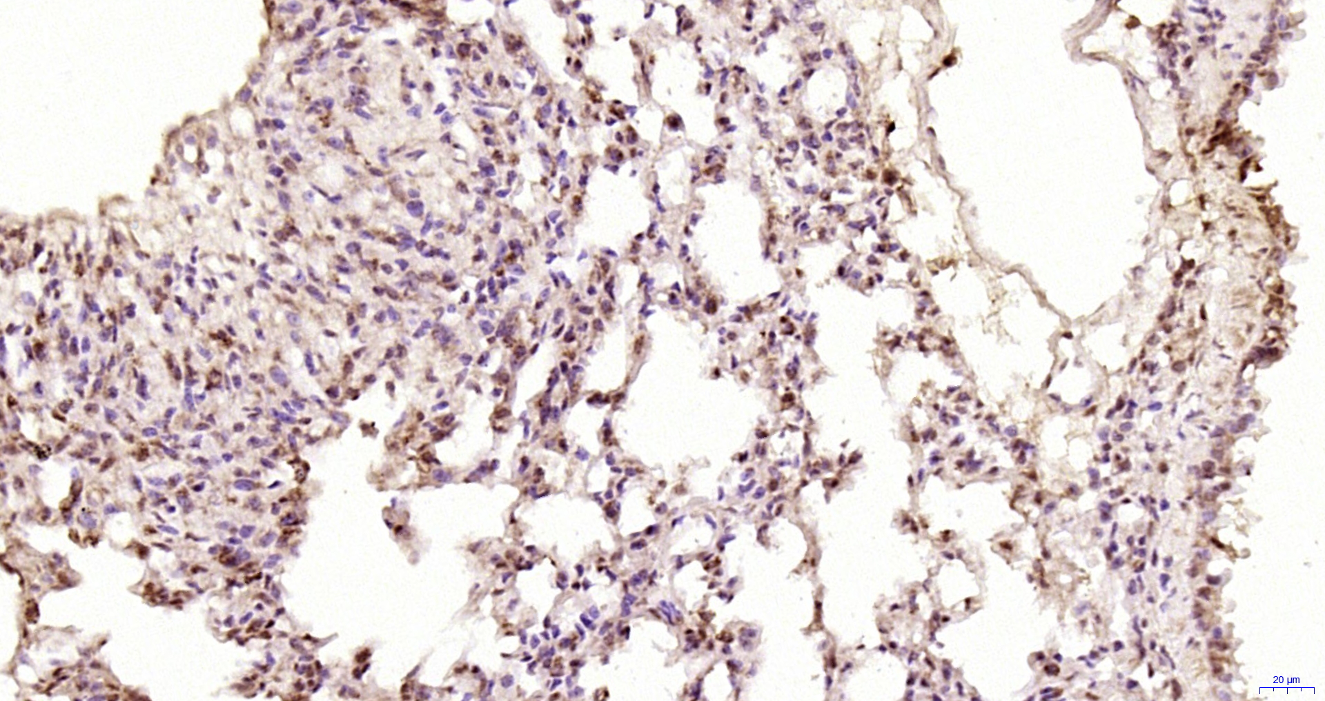
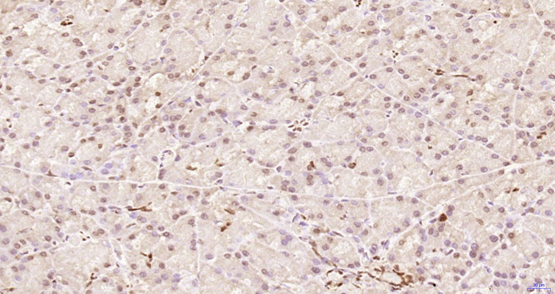
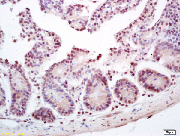
- Product NameZNF693 Polyclonal Antibody
- Delivery Days Customer16
- ApplicationsImmunoFluorescence, Western Blot, ELISA, ImmunoCytoChemistry, ImmunoHistoChemistry, ImmunoHistoChemistry Frozen, ImmunoHistoChemistry Paraffin
- Applications SupplierWB(1:300-5000), ELISA(1:500-1000), IHC-P(1:200-400), IHC-F(1:100-500), IF(IHC-P)(1:50-200), IF(IHC-F)(1:50-200), IF(ICC)(1:50-200)
- CertificationResearch Use Only
- ClonalityPolyclonal
- Concentration1 ug/ul
- ConjugateUnconjugated
- Gene ID54897
- Target nameCASZ1
- Target descriptioncastor zinc finger 1
- Target synonymsCAS11, CST, SRG, ZNF693, dJ734G22.1, zinc finger protein castor homolog 1, castor homolog 1, zinc finger, castor-related protein, survival-related, zinc finger protein 693
- HostRabbit
- IsotypeIgG
- Protein IDQ86V15
- Protein NameZinc finger protein castor homolog 1
- ReactivityHuman, Mouse, Rat
- Storage Instruction-20°C
- UNSPSC41116161








