Western Blot analysis of PC3 cell using CD156c Polyclonal Antibody at dilution of 1:300
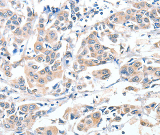
ADAM10 Polyclonal Antibody
E-AB-14498
Product group Antibodies
Overview
- SupplierElabscience
- Product NameADAM10 Polyclonal Antibody
- Delivery Days Customer12
- Applications SupplierELISA WB IHC
- CertificationResearch Use Only
- Concentration0.3mg/ml
- Scientific DescriptionMembers of the ADAM family are cell surface proteins with a unique structure possessing both potential adhesion and protease domains. This gene encodes and ADAM family member that cleaves many proteins including TNF-alpha and E-cadherin. Cleaves the membrane-bound precursor of TNF-alpha at 76-Ala- - -Val-77 to its mature soluble form. Responsible for the proteolytical release of soluble JAM3 from endothelial cells surface. Responsible for the proteolytic release of several other cell-surface proteins, including heparin-binding epidermal growth-like factor, ephrin-A2 and for constitutive and regulated alpha-secretase cleavage of amyloid precursor protein (APP).
- UNSPSC12352203




